FANCD2; FACD; Fanconi anemia group D2 protein; Protein FACD2
Source:
Rabbit
Dilutions:
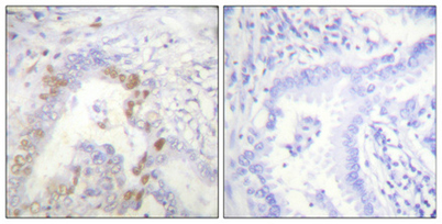
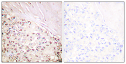
Western Blot: 1/500 - 1/2000. Immunohistochemistry: 1/100 - 1/300. ELISA: 1/10000. Not yet tested in other applications.
Immunogen:
The antiserum was produced against synthesized peptide derived from human FANCD2. AA range:188-237
Storage:
-20°C/1 year
Clonality:
Polyclonal
Isotype:
IgG
Concentration:
1 mg/ml
Observed Band:
166kD
GeneID:
2177
Human Swiss-Prot No:
Q9BXW9
Cellular localization:
Nucleus . Concentrates in nuclear foci during S phase and upon genotoxic stress. At the onset of mitosis, excluded from chromosomes and diffuses into the cytoplasm, returning to the nucleus at the end of cell division. Observed in a few spots localized in pairs on the sister chromatids of mitotic chromosome arms and not centromeres, one on each chromatids. These foci coincide with common fragile sites and could be sites of replication fork stalling. The foci are frequently interlinked through BLM-associated ultra-fine DNA bridges. Following aphidicolin treatment, targets chromatid gaps and breaks.
Background:
Fanconi anemia complementation group D2(FANCD2) Homo sapiens The Fanconi anemia complementation group (FANC) currently includes FANCA, FANCB, FANCC, FANCD1 (also called BRCA2), FANCD2, FANCE, FANCF, FANCG, FANCI, FANCJ (also called BRIP1), FANCL, FANCM and FANCN (also called PALB2). The previously defined group FANCH is the same as FANCA. Fanconi anemia is a genetically heterogeneous recessive disorder characterized by cytogenetic instability, hypersensitivity to DNA crosslinking agents, increased chromosomal breakage, and defective DNA repair. The members of the Fanconi anemia complementation group do not share sequence similarity; they are related by their assembly into a common nuclear protein complex. This gene encodes the protein for complementation group D2. This protein is monoubiquinated in response to DNA damage, resulting in its localization to nuclear foci with other proteins (BRCA1 AND BRCA2) involved in homology-directed DNA repai