產品中心

DDX51 rabbit pAb
一鍵復制產品信息
ES2156
規格: 價格:
50μL ¥1280.00
100μL ¥1980.00

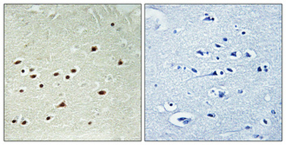
Overview

Product name: DDX51 rabbit pAb
Reactivity: Human;Rat;Mouse;
Alternative Names: DDX51; ATP-dependent RNA helicase DDX51; DEAD box protein 51
Source: Rabbit
Dilutions: Western Blot: 1/500 - 1/2000. Immunohistochemistry: 1/100 - 1/300. ELISA: 1/40000. Not yet tested in other applications.
Immunogen: The antiserum was produced against synthesized peptide derived from human DDX51. AA range:617-666
Storage: -20°C/1 year
Clonality: Polyclonal
Isotype: IgG
Concentration: 1 mg/ml
Observed Band: 72kD
GeneID: 317781
Human Swiss-Prot No: Q8N8A6
Cellular localization: Nucleus, nucleolus .
Background: domain:The Q motif is unique to and characteristic of the DEAD box family of RNA helicases and controls ATP binding and hydrolysis.,function:ATP-binding RNA helicase involved in the biogenesis of 60S ribosomal subunits.,similarity:Belongs to the DEAD box helicase family. DDX51/DBP6 subfamily.,similarity:Contains 1 helicase ATP-binding domain.,similarity:Contains 1 helicase C-terminal domain.,
關閉

在線咨詢

Online consultation

  • 在線咨詢
  • 技術支持

關注微信公眾號

微信掃一掃立即咨詢

微信掃一掃立即咨詢

關閉