產品中心

Cytokeratin 17 rabbit pAb
一鍵復制產品信息
ES2127
規格: 價格:
50μL ¥1280.00
100μL ¥1980.00

Overview

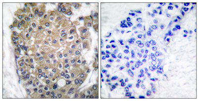
Product name: Cytokeratin 17 rabbit pAb
Reactivity: Human;Mouse;Rat
Alternative Names: KRT17; Keratin; type I cytoskeletal 17; 39.1; Cytokeratin-17; CK-17; Keratin-17; K17
Source: Rabbit
Dilutions: Western Blot: 1/500 - 1/2000. Immunohistochemistry: 1/100 - 1/300. Immunofluorescence: 1/200 - 1/1000. ELISA: 1/20000. Not yet tested in other applications.
Immunogen: The antiserum was produced against synthesized peptide derived from human Keratin 17. AA range:381-430
Storage: -20°C/1 year
Clonality: Polyclonal
Isotype: IgG
Concentration: 1 mg/ml
Observed Band: 48kD
GeneID: 3872
Human Swiss-Prot No: Q04695
Cellular localization: Cytoplasm .
Background: This gene encodes the type I intermediate filament chain keratin 17, expressed in nail bed, hair follicle, sebaceous glands, and other epidermal appendages. Mutations in this gene lead to Jackson-Lawler type pachyonychia congenita and steatocystoma multiplex. [provided by RefSeq, Aug 2008],
關閉

在線咨詢

Online consultation

  • 在線咨詢
  • 技術支持

關注微信公眾號

微信掃一掃立即咨詢

微信掃一掃立即咨詢

關閉