產品中心

Cyclin L1 rabbit pAb
一鍵復制產品信息
ES2087
規格: 價格:
50μL ¥1280.00
100μL ¥1980.00

Overview

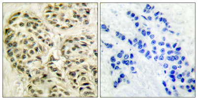
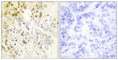
Product name: Cyclin L1 rabbit pAb
Reactivity: Human;Mouse;Rat
Alternative Names: CCNL1; BM-001; Cyclin-L1; Cyclin-L
Source: Rabbit
Dilutions: Western Blot: 1/500 - 1/2000. Immunohistochemistry: 1/100 - 1/300. ELISA: 1/10000. Not yet tested in other applications.
Immunogen: The antiserum was produced against synthesized peptide derived from human Cyclin L1. AA range:461-510
Storage: -20°C/1 year
Clonality: Polyclonal
Isotype: IgG
Concentration: 1 mg/ml
Observed Band: 60kD
GeneID: 57018
Human Swiss-Prot No: Q9UK58
Cellular localization: Nucleus speckle . Nucleus, nucleoplasm . Found in nuclear intrachromatin granules clusters (IGC), also called nuclear speckles, which are storage compartments for nuclear proteins involved in mRNA processing. .
Background: alternative products:Ccnl1 is an immediate-early gene with independently regulated isoforms,domain:Contains a RS region (arginine-serine dipeptide repeat) within the C-terminal domain which is the hallmark of the SR family of splicing factors. This region probably plays a role in protein-protein interactions.,function:Transcriptional regulator which participates in regulating the pre-mRNA splicing process. Seems to be involved in the regulation of RNA polymerase II (pol II). Functions in association with cyclin-dependent kinases (CDKs) and has a role in the second step of splicing. May be a candidate proto-oncogene in head and neck squamous cell carcinomas (HNSCC). Inhibited by the CDK-specific inhibitor p21.,miscellaneous:CCNL1 is amplified in several HNSCC. May play a critical role in the formation of loco-regional metastases and an unfavorable clinical outcome of HNSCC.,sequence caution:Probable cloning artifact.,similarity:Belongs to the cyclin family. Cyclin L subfamily.,subcellular location:More specifically found in nuclear intrachromatin granules clusters (IGC), also called nuclear speckles, which are storage compartments for nuclear proteins involved in mRNA processing.,subunit:Interacts with POLR2A via its hyperphosphorylated C-terminal domain (CTD) (By similarity). Interacts with CDC2L1 or CDC2L2, and SFRS2.,tissue specificity:Ubiquitous with higher level in thymus. Overexpression in primary tumors of head and neck squamous cell carcinomas (HNSCC).,
關閉

在線咨詢

Online consultation

  • 在線咨詢
  • 技術支持

關注微信公眾號

微信掃一掃立即咨詢

微信掃一掃立即咨詢

關閉