產品中心

Arrestin-β-1 rabbit pAb
一鍵復制產品信息
ES1710
規格: 價格:
50μL ¥1280.00
100μL ¥1980.00

Overview

Product name: Arrestin-β-1 rabbit pAb
Reactivity: Human;Monkey
Alternative Names: ARRB1; ARR1; Beta-arrestin-1; Arrestin beta-1
Source: Rabbit
Dilutions: Western Blot: 1/500 - 1/2000. Immunohistochemistry: 1/100 - 1/300. Immunofluorescence: 1/200 - 1/1000. ELISA: 1/10000. Not yet tested in other applications.
Immunogen: The antiserum was produced against synthesized peptide derived from human Arrestin 1. AA range:369-418
Storage: -20°C/1 year
Clonality: Polyclonal
Isotype: IgG
Concentration: 1 mg/ml
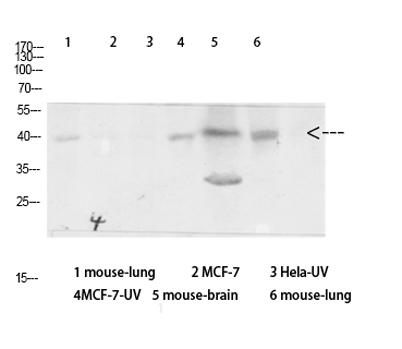
Observed Band: 47kD
GeneID: 408
Human Swiss-Prot No: P49407
Cellular localization: Cytoplasm. Nucleus. Cell membrane. Membrane, clathrin-coated pit . Cell projection, pseudopodium . Cytoplasmic vesicle. Translocates to the plasma membrane and colocalizes with antagonist-stimulated GPCRs. The monomeric form is predominantly located in the nucleus. The oligomeric form is located in the cytoplasm. Translocates to the nucleus upon stimulation of OPRD1 (By similarity). .
Background: Members of arrestin/beta-arrestin protein family are thought to participate in agonist-mediated desensitization of G-protein-coupled receptors and cause specific dampening of cellular responses to stimuli such as hormones, neurotransmitters, or sensory signals. Arrestin beta 1 is a cytosolic protein and acts as a cofactor in the beta-adrenergic receptor kinase (BARK) mediated desensitization of beta-adrenergic receptors. Besides the central nervous system, it is expressed at high levels in peripheral blood leukocytes, and thus the BARK/beta-arrestin system is believed to play a major role in regulating receptor-mediated immune functions. Alternatively spliced transcripts encoding different isoforms of arrestin beta 1 have been described. [provided by RefSeq, Jan 2011],
關閉

在線咨詢

Online consultation

  • 在線咨詢
  • 技術支持

關注微信公眾號

微信掃一掃立即咨詢

微信掃一掃立即咨詢

關閉