產品中心

ACOT4 rabbit pAb
一鍵復制產品信息
ES1584
規格: 價格:
50μL ¥1280.00
100μL ¥1980.00

Overview

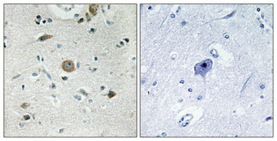
Product name: ACOT4 rabbit pAb
Reactivity: Human;Rat;Mouse;
Alternative Names: ACOT4; PTE2B; PTEIB; Acyl-coenzyme A thioesterase 4; Acyl-CoA thioesterase 4; PTE-2b; Peroxisomal acyl coenzyme A thioester hydrolase Ib; Peroxisomal long-chain acyl-CoA thioesterase Ib; PTE-Ib
Source: Rabbit
Dilutions: Western Blot: 1/500 - 1/2000. Immunohistochemistry: 1/100 - 1/300. Immunofluorescence: 1/200 - 1/1000. ELISA: 1/20000. Not yet tested in other applications.
Immunogen: The antiserum was produced against synthesized peptide derived from human ACOT4. AA range:361-410
Storage: -20°C/1 year
Clonality: Polyclonal
Isotype: IgG
Concentration: 1 mg/ml
Observed Band: 48kD
GeneID: 122970
Human Swiss-Prot No: Q8N9L9
Cellular localization: Peroxisome .
Background: catalytic activity:Palmitoyl-CoA + H(2)O = CoA + palmitate.,function:Acyl-CoA thioesterases are a group of enzymes that catalyze the hydrolysis of acyl-CoAs to the free fatty acid and coenzyme A (CoASH), providing the potential to regulate intracellular levels of acyl-CoAs, free fatty acids and CoASH.,similarity:Belongs to the C/M/P thioester hydrolase family.,
關閉

在線咨詢

Online consultation

  • 在線咨詢
  • 技術支持

關注微信公眾號

微信掃一掃立即咨詢

微信掃一掃立即咨詢

關閉