產品中心

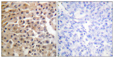
Neu (phospho Tyr1221/Y1222) rabbit pAb
一鍵復制產品信息
ES1514
規格: 價格:
50μL ¥1280.00
100μL ¥1980.00

Overview

Product name: Neu (phospho Tyr1221/Y1222) rabbit pAb
Reactivity: Human;Mouse;Rat;Monkey
Alternative Names: ERBB2; HER2; MLN19; NEU; NGL; Receptor tyrosine-protein kinase erbB-2; Metastatic lymph node gene 19 protein; MLN 19; Proto-oncogene Neu; Proto-oncogene c-ErbB-2; Tyrosine kinase-type cell surface receptor HER2; p185erbB2; CD antigen CD340
Source: Rabbit
Dilutions: Western Blot: 1/500 - 1/2000. Immunohistochemistry: 1/100 - 1/300. Immunofluorescence: 1/200 - 1/1000. ELISA: 1/40000. Not yet tested in other applications.
Immunogen: Synthesized phospho-peptide around the phosphorylation site of human Neu (phospho Tyr1221/Y1222)
Storage: -20°C/1 year
Clonality: Polyclonal
Isotype: IgG
Concentration: 1 mg/ml
Observed Band: 180kD
GeneID: 2064
Human Swiss-Prot No: P04626
Cellular localization: [Isoform 1]: Cell membrane ; Single-pass type I membrane protein. Early endosome . Cytoplasm, perinuclear region. Nucleus. Translocation to the nucleus requires endocytosis, probably endosomal sorting and is mediated by importin beta-1/KPNB1. Also detected in VPS35-positive endosome-to-TGN retrograde vesicles (PubMed:31138794). .; [Isoform 2]: Cytoplasm. Nucleus.; [Isoform 3]: Cytoplasm. Nucleus.
Background: This gene encodes a member of the epidermal growth factor (EGF) receptor family of receptor tyrosine kinases. This protein has no ligand binding domain of its own and therefore cannot bind growth factors. However, it does bind tightly to other ligand-bound EGF receptor family members to form a heterodimer, stabilizing ligand binding and enhancing kinase-mediated activation of downstream signalling pathways, such as those involving mitogen-activated protein kinase and phosphatidylinositol-3 kinase. Allelic variations at amino acid positions 654 and 655 of isoform a (positions 624 and 625 of isoform b) have been reported, with the most common allele, Ile654/Ile655, shown here. Amplification and/or overexpression of this gene has been reported in numerous cancers, including breast and ovarian tumors. Alternative splicing results in several additional transcript variants, some encoding d
關閉

在線咨詢

Online consultation

  • 在線咨詢
  • 技術支持

關注微信公眾號

微信掃一掃立即咨詢

微信掃一掃立即咨詢

關閉