產品中心

PLC γ1 (phospho Tyr771) rabbit pAb
一鍵復制產品信息
ES1476
規格: 價格:
50μL ¥1280.00
100μL ¥1980.00

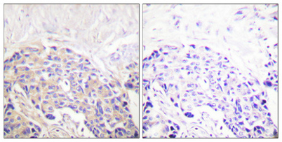
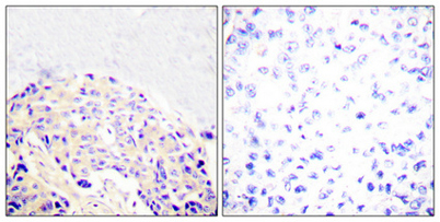
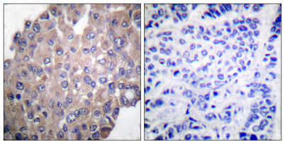
Overview

Product name: PLC γ1 (phospho Tyr771) rabbit pAb
Reactivity: Human;Mouse;Rat;Monkey
Alternative Names: PLCG1; PLC1; 1-phosphatidylinositol 4; 5-bisphosphate phosphodiesterase gamma-1; PLC-148; Phosphoinositide phospholipase C-gamma-1; Phospholipase C-II; PLC-II; Phospholipase C-gamma-1; PLC-gamma-1
Source: Rabbit
Dilutions: Western Blot: 1/500 - 1/2000. Immunohistochemistry: 1/100 - 1/300. ELISA: 1/40000. Not yet tested in other applications.
Immunogen: The antiserum was produced against synthesized peptide derived from human PLCG1 around the phosphorylation site of Tyr771. AA range:736-785
Storage: -20°C/1 year
Clonality: Polyclonal
Isotype: IgG
Concentration: 1 mg/ml
Observed Band: 150kD
GeneID: 5335
Human Swiss-Prot No: P19174
Cellular localization: Cell projection, lamellipodium . Cell projection, ruffle . Rapidly redistributed to ruffles and lamellipodia structures in response to epidermal growth factor (EGF) treatment. .
Background: The protein encoded by this gene catalyzes the formation of inositol 1,4,5-trisphosphate and diacylglycerol from phosphatidylinositol 4,5-bisphosphate. This reaction uses calcium as a cofactor and plays an important role in the intracellular transduction of receptor-mediated tyrosine kinase activators. For example, when activated by SRC, the encoded protein causes the Ras guanine nucleotide exchange factor RasGRP1 to translocate to the Golgi, where it activates Ras. Also, this protein has been shown to be a major substrate for heparin-binding growth factor 1 (acidic fibroblast growth factor)-activated tyrosine kinase. Two transcript variants encoding different isoforms have been found for this gene. [provided by RefSeq, Jul 2008],
關閉

在線咨詢

Online consultation

  • 在線咨詢
  • 技術支持

關注微信公眾號

微信掃一掃立即咨詢

微信掃一掃立即咨詢

關閉