產品中心

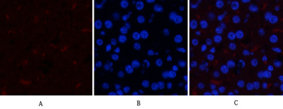
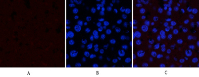
GSK3α/β (phospho Tyr279/216) rabbit pAb
一鍵復制產品信息
ES1321
規格: 價格:
50μL ¥1280.00
100μL ¥1980.00

Overview

Product name: GSK3α/β (phospho Tyr279/216) rabbit pAb
Reactivity: Human;Mouse;Rat
Alternative Names: GSK3A; Glycogen synthase kinase-3 alpha; GSK-3 alpha; Serine/threonine-protein kinase GSK3A; GSK3B; Glycogen synthase kinase-3 beta; GSK-3 beta; Serine/threonine-protein kinase GSK3B
Source: Rabbit
Dilutions: IF: 1:50-200 Western Blot: 1/500 - 1/2000. Immunohistochemistry: 1/100 - 1/300. ELISA: 1/20000. Not yet tested in other applications.
Immunogen: The antiserum was produced against synthesized peptide derived from human GSK3 alpha/beta around the phosphorylation site of Tyr279/216. AA range:246-295
Storage: -20°C/1 year
Clonality: Polyclonal
Isotype: IgG
Concentration: 1 mg/ml
Observed Band: 51,46kD
GeneID: 2931
Human Swiss-Prot No: P49840/P49841
Cellular localization: mitochondrion,cytosol,beta-catenin destruction complex,postsynapse,
Background: glycogen synthase kinase 3 alpha(GSK3A) Homo sapiens This gene encodes a multifunctional Ser/Thr protein kinase that is implicated in the control of several regulatory proteins including glycogen synthase, and transcription factors, such as JUN. It also plays a role in the WNT and PI3K signaling pathways, as well as regulates the production of beta-amyloid peptides associated with Alzheimer's disease. [provided by RefSeq, Oct 2011],
關閉

在線咨詢

Online consultation

  • 在線咨詢
  • 技術支持

關注微信公眾號

微信掃一掃立即咨詢

微信掃一掃立即咨詢

關閉