產品中心

Chk2 (phospho Thr68) rabbit pAb
一鍵復制產品信息
ES1288
規格: 價格:
50μL ¥1280.00
100μL ¥1980.00

Overview

Product name: Chk2 (phospho Thr68) rabbit pAb
Reactivity: Human;Mouse;Rat
Alternative Names: CHEK2; CDS1; CHK2; RAD53; Serine/threonine-protein kinase Chk2; CHK2 checkpoint homolog; Cds1 homolog; Hucds1; hCds1; Checkpoint kinase 2
Source: Rabbit
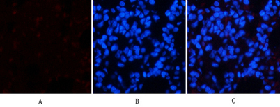
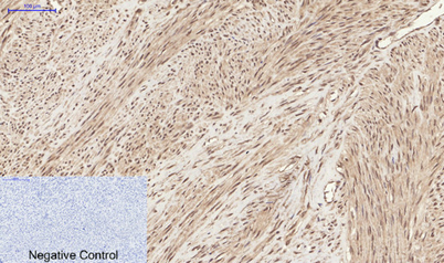
Dilutions: IF: 1:50-200 Western Blot: 1/500 - 1/2000. Immunohistochemistry: 1/100 - 1/300. ELISA: 1/20000. Not yet tested in other applications.
Immunogen: The antiserum was produced against synthesized peptide derived from human Chk2 around the phosphorylation site of Thr68. AA range:35-84
Storage: -20°C/1 year
Clonality: Polyclonal
Isotype: IgG
Concentration: 1 mg/ml
Observed Band: 61kD
GeneID: 11200
Human Swiss-Prot No: O96017
Cellular localization: [Isoform 2]: Nucleus. Isoform 10 is present throughout the cell.; [Isoform 4]: Nucleus.; [Isoform 7]: Nucleus.; [Isoform 9]: Nucleus.; [Isoform 12]: Nucleus.; Nucleus, PML body. Nucleus, nucleoplasm. Recruited into PML bodies together with TP53.
Background: In response to DNA damage and replication blocks, cell cycle progression is halted through the control of critical cell cycle regulators. The protein encoded by this gene is a cell cycle checkpoint regulator and putative tumor suppressor. It contains a forkhead-associated protein interaction domain essential for activation in response to DNA damage and is rapidly phosphorylated in response to replication blocks and DNA damage. When activated, the encoded protein is known to inhibit CDC25C phosphatase, preventing entry into mitosis, and has been shown to stabilize the tumor suppressor protein p53, leading to cell cycle arrest in G1. In addition, this protein interacts with and phosphorylates BRCA1, allowing BRCA1 to restore survival after DNA damage. Mutations in this gene have been linked with Li-Fraumeni syndrome, a highly penetrant familial cancer phenotype usually associated with inherited mutati
關閉

在線咨詢

Online consultation

  • 在線咨詢
  • 技術支持

關注微信公眾號

微信掃一掃立即咨詢

微信掃一掃立即咨詢

關閉