產品中心

AP-1 (phospho Ser63) rabbit pAb
一鍵復制產品信息
ES1260
規格: 價格:
50μL ¥1280.00
100μL ¥1980.00

Overview

Product name: AP-1 (phospho Ser63) rabbit pAb
Reactivity: Human;Mouse;Rat
Alternative Names: JUN; Transcription factor AP-1; Activator protein 1; AP1; Proto-oncogene c-Jun; V-jun avian sarcoma virus 17 oncogene homolog; p39
Source: Rabbit
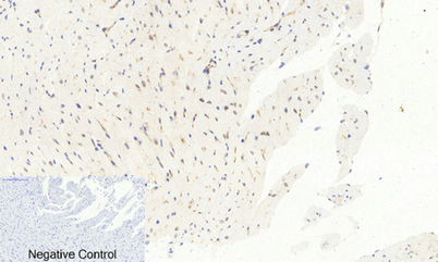
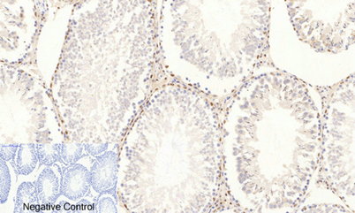
Dilutions: IF: 1:50-200 Western Blot: 1/500 - 1/2000. Immunohistochemistry: 1/100 - 1/300. ELISA: 1/20000. Not yet tested in other applications.
Immunogen: The antiserum was produced against synthesized peptide derived from human c-Jun around the phosphorylation site of Ser63. AA range:31-80
Storage: -20°C/1 year
Clonality: Polyclonal
Isotype: IgG
Concentration: 1 mg/ml
Observed Band: 39-42kD
GeneID: 3725
Human Swiss-Prot No: P05412
Cellular localization: Nucleus.
Background: This gene is the putative transforming gene of avian sarcoma virus 17. It encodes a protein which is highly similar to the viral protein, and which interacts directly with specific target DNA sequences to regulate gene expression. This gene is intronless and is mapped to 1p32-p31, a chromosomal region involved in both translocations and deletions in human malignancies. [provided by RefSeq, Jul 2008],
關閉

在線咨詢

Online consultation

  • 在線咨詢
  • 技術支持

關注微信公眾號

微信掃一掃立即咨詢

微信掃一掃立即咨詢

關閉