產品中心

NFκB-p65 (Acetyl Lys310) rabbit pAb
一鍵復制產品信息
ES1094
規格: 價格:
50μL ¥1280.00
100μL ¥1980.00

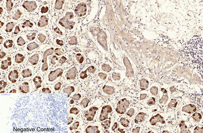
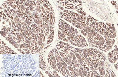
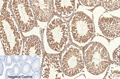
Overview 文獻(1)

Product name: NFκB-p65 (Acetyl Lys310) rabbit pAb
Reactivity: Human;Mouse
Alternative Names: RELA; NFKB3; Transcription factor p65; Nuclear factor NF-kappa-B p65 subunit; Nuclear factor of kappa light polypeptide gene enhancer in B-cells 3
Source: Rabbit
Dilutions: WB 1:500-2000, IHC-p 1:50-300, IF 1:50-300
Immunogen: The antiserum was produced against synthesized peptide derived from human NF-kappaB p65 around the acetylated site of Lys310. AA range:275-324
Storage: -20°C/1 year
Clonality: Polyclonal
Isotype: IgG
Concentration: 1 mg/ml
Observed Band: 65kD
GeneID: 5970
Human Swiss-Prot No: Q04206
Cellular localization: Nucleus . Cytoplasm . Nuclear, but also found in the cytoplasm in an inactive form complexed to an inhibitor (I-kappa-B) (PubMed:1493333). Colocalized with DDX1 in the nucleus upon TNF-alpha induction (PubMed:19058135). Colocalizes with GFI1 in the nucleus after LPS stimulation (PubMed:20547752). Translocation to the nucleus is impaired in L.monocytogenes infection (PubMed:20855622). .
Background: NF-kappa-B is a ubiquitous transcription factor involved in several biological processes. It is held in the cytoplasm in an inactive state by specific inhibitors. Upon degradation of the inhibitor, NF-kappa-B moves to the nucleus and activates transcription of specific genes. NF-kappa-B is composed of NFKB1 or NFKB2 bound to either REL, RELA, or RELB. The most abundant form of NF-kappa-B is NFKB1 complexed with the product of this gene, RELA. Four transcript variants encoding different isoforms have been found for this gene. [provided by RefSeq, Sep 2011],
關閉

在線咨詢

Online consultation

  • 在線咨詢
  • 技術支持

關注微信公眾號

微信掃一掃立即咨詢

微信掃一掃立即咨詢

關閉