產品中心

Cleaved-Cathepsin G (I21) rabbit pAb
一鍵復制產品信息
ES1031
規格: 價格:
50μL ¥1280.00
100μL ¥1980.00

Overview

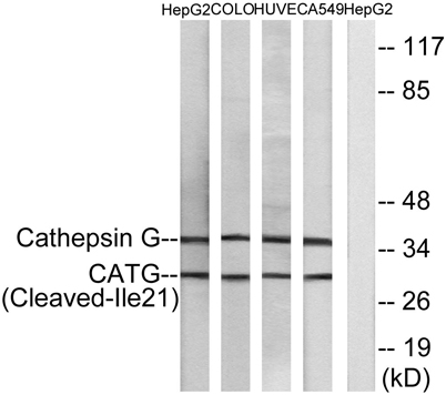
Product name: Cleaved-Cathepsin G (I21) rabbit pAb
Reactivity: Human;Mouse;Rat
Alternative Names: CTSG; Cathepsin G; CG
Source: Rabbit
Dilutions: Western Blot: 1/500 - 1/2000. ELISA: 1/20000. Not yet tested in other applications.
Immunogen: The antiserum was produced against synthesized peptide derived from human CATG. AA range:2-51
Storage: -20°C/1 year
Clonality: Polyclonal
Isotype: IgG
Concentration: 1 mg/ml
Observed Band: 28+26kD
GeneID: 1511
Human Swiss-Prot No: P08311
Cellular localization: Cell membrane ; Peripheral membrane protein . Cytoplasmic granule . Secreted . Cytoplasm, cytosol . Lysosome . Nucleus . Secreted by activated neutrophils (PubMed:3390156). Detected in synovial fluid (PubMed:32144329). Localizes to lysosomes in B cells where it is not endogenously synthesized but is internalized from the cell membrane (PubMed:15100291). Localizes to the nucleus during apoptosis (PubMed:11259672). .
Background: The protein encoded by this gene, a member of the peptidase S1 protein family, is found in azurophil granules of neutrophilic polymorphonuclear leukocytes. The encoded protease has a specificity similar to that of chymotrypsin C, and may participate in the killing and digestion of engulfed pathogens, and in connective tissue remodeling at sites of inflammation. In addition, the encoded protein is antimicrobial, with bacteriocidal activity against S. aureus and N. gonorrhoeae. Transcript variants utilizing alternative polyadenylation signals exist for this gene. [provided by RefSeq, Sep 2014],
關閉

在線咨詢

Online consultation

  • 在線咨詢
  • 技術支持

關注微信公眾號

微信掃一掃立即咨詢

微信掃一掃立即咨詢

關閉