產品中心

Caspase-7 rabbit pAb
一鍵復制產品信息
ES1022
規格: 價格:
50μL ¥1280.00
100μL ¥1980.00

Overview

Product name: Caspase-7 rabbit pAb
Reactivity: Human;Rat;Mouse;
Alternative Names: CASP7; MCH3; Caspase-7; CASP-7; Apoptotic protease Mch-3; CMH-1; ICE-like apoptotic protease 3; ICE-LAP3
Source: Rabbit
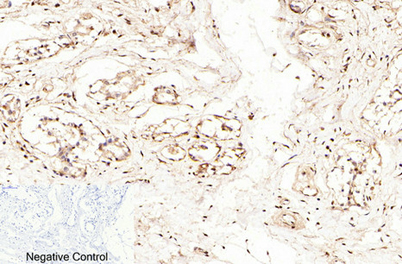
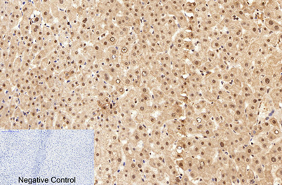
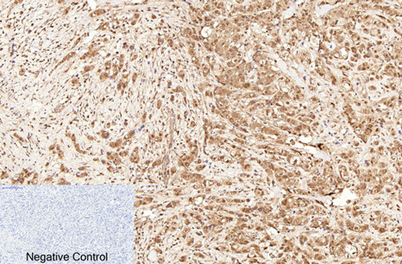
Dilutions: WB 1:500-2000, IF 1:50-300, IHC 1:50-300
Immunogen: Synthesized peptide derived from Caspase-7 . at AA range: 160-240
Storage: -20°C/1 year
Clonality: Polyclonal
Isotype: IgG
Concentration: 1 mg/ml
Observed Band: 34kD
GeneID: 840
Human Swiss-Prot No: P55210
Cellular localization: Cytoplasm.
Background: This gene encodes a member of the cysteine-aspartic acid protease (caspase) family. Sequential activation of caspases plays a central role in the execution-phase of cell apoptosis. Caspases exist as inactive proenzymes which undergo proteolytic processing at conserved aspartic residues to produce two subunits, large and small, that dimerize to form the active enzyme. The precursor of the encoded protein is cleaved by caspase 3 and 10, is activated upon cell death stimuli and induces apoptosis. Alternatively spliced transcript variants encoding multiple isoforms have been observed for this gene. [provided by RefSeq, May 2012],
關閉

在線咨詢

Online consultation

  • 在線咨詢
  • 技術支持

關注微信公眾號

微信掃一掃立即咨詢

微信掃一掃立即咨詢

關閉