產品中心

P63-α (3F11) Mouse mAb
一鍵復制產品信息
EM1404
規格: 價格:
50μL ¥1280.00
100μL ¥1980.00

Overview

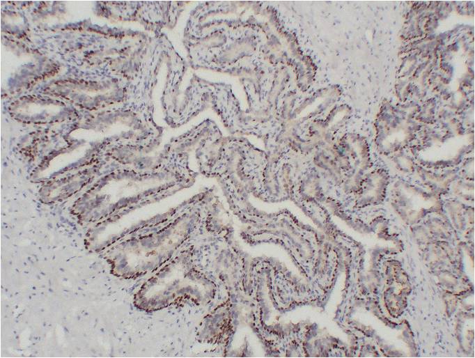
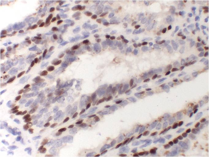
Product name: P63-α (3F11) Mouse mAb
Reactivity: Human, Rat, Mouse
Source: Mouse
Dilutions: WB 1:1,000-2,000?? IHC:1;100-1:200
Immunogen: Synthetic Peptide
Storage: PBS with 0.02% sodium azide and 50% glycerol pH 7.4. Store at -20°C. Avoid?repeated?freeze-thaw?cycles.
Clonality: Monoclonal
Isotype: IgG1
Concentration: 1mg/mL
Observed Band: 50-80kDa
GeneID: 8626
Human Swiss-Prot No: Q9H3D4
Cellular localization: Nucleus
Background: p63 can induce p53-responsive genes and apoptosis, mutation of p63 rarely results in tumors . Research investigators frequently observe amplification of the p63 gene in squamous cell carcinomas of the lung, head and neck . The p63 gene contains an alternative transcription initiation site that yields a 40 kDa δNp63 lacking the transactivation domain, and alternative splicing at the carboxy-terminus yields the α, β, and γ isoforms .
關閉

在線咨詢

Online consultation

  • 在線咨詢
  • 技術支持

關注微信公眾號

微信掃一掃立即咨詢

微信掃一掃立即咨詢

關閉