產品中心

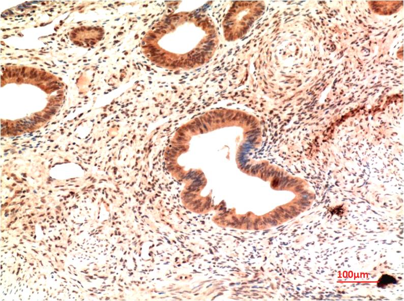
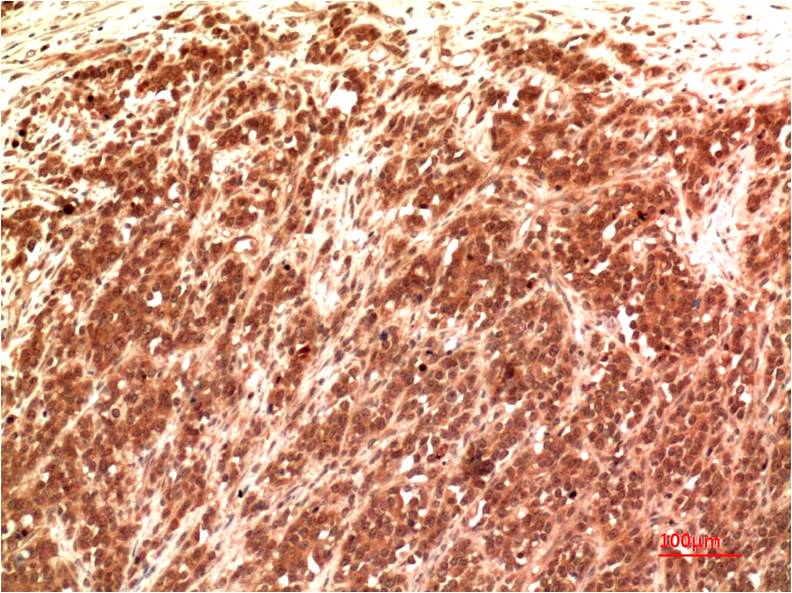
Claudin-2 (8H11) Mouse mAb
一鍵復制產品信息
EM1403
規格: 價格:
50μL ¥1280.00
100μL ¥1980.00

Overview

Product name: Claudin-2 (8H11) Mouse mAb
Reactivity: Human, Rat, Mouse
Source: Mouse
Dilutions: WB 1:1,000-2,000?? IHC:1;100-1:200
Immunogen: Synthetic Peptide
Storage: PBS with 0.02% sodium azide and 50% glycerol pH 7.4. Store at -20°C. Avoid?repeated?freeze-thaw?cycles.
Clonality: Monoclonal
Isotype: IgG1
Concentration: 1mg/mL
Observed Band: 25kDa
GeneID: 9075
Human Swiss-Prot No: P57739
Cellular localization: Cell junction,tight junction,Cell membrane
Background: The claudin family is composed of 23 integral membrane proteins, and their expression, which varies among tissue types, may determine both the strength and properties of the epithelial barrier. Alteration in claudin protein expression pattern is associated with several types of cancer . Claudin-2 is expressed primarily in the proximal tubule of the normal mammalian kidney, where it regulates transepithelial ion (e.g., Na+, Cl-) reabsorption . Increased expression of Claudin-2 has been reported in some cancer cell lines , including A549 lung adenocarcinoma cells, where its nuclear distribution was positively associated with enhanced proliferation .
關閉

在線咨詢

Online consultation

  • 在線咨詢
  • 技術支持

關注微信公眾號

微信掃一掃立即咨詢

微信掃一掃立即咨詢

關閉