產品中心

Acetyl P53(K382) (1G7) Mouse mAb
一鍵復制產品信息
EM1382
規格: 價格:
50μL ¥1280.00
100μL ¥1980.00

Overview

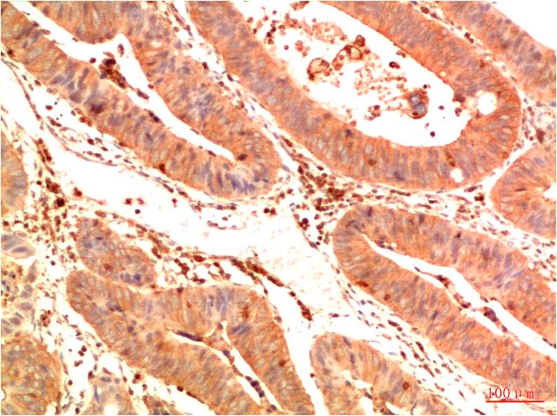
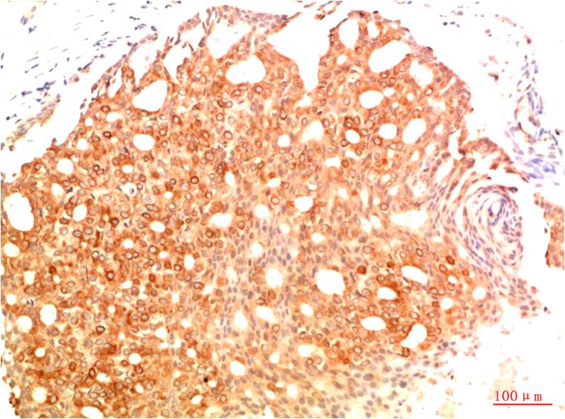
Product name: Acetyl P53(K382) (1G7) Mouse mAb
Reactivity: Human, Mouse, Rat
Alternative Names: Cellular tumor antigen p53 antibody, Cys 51 stop antibody, Tp53 antibody, Tumor protein p53 antibody
Source: Mouse
Dilutions: IHC 1:100-200
Immunogen: Synthetic Peptide
Storage: PBS with 0.02% sodium azide and 50% glycerol pH 7.4. Store at -20°C. Avoid?repeated?freeze-thaw?cycles.
Clonality: Monoclonal
Isotype: IgG1
Concentration: 1mg/mL
Observed Band: 53kDa
GeneID: 7157
Human Swiss-Prot No: P04637
Cellular localization: Cytoplasm,Cytoplasm. Nucleus
Background: p53 plays a major role in the cellular response to DNA damage and other genomic aberrations. The activation of p53 can lead to either cell cycle arrest and DNA repair, or apoptosis. Acetylation appears to play a positive role in the accumulation of p53 protein in stress response.
關閉

在線咨詢

Online consultation

  • 在線咨詢
  • 技術支持

關注微信公眾號

微信掃一掃立即咨詢

微信掃一掃立即咨詢

關閉