產品中心

Acetyl NF kB P65(K314/K315) (5G11) Mouse mAb
一鍵復制產品信息
EM1377
規格: 價格:
50μL ¥1280.00
100μL ¥1980.00

Overview 文獻(1)

Product name: Acetyl NF kB P65(K314/K315) (5G11) Mouse mAb
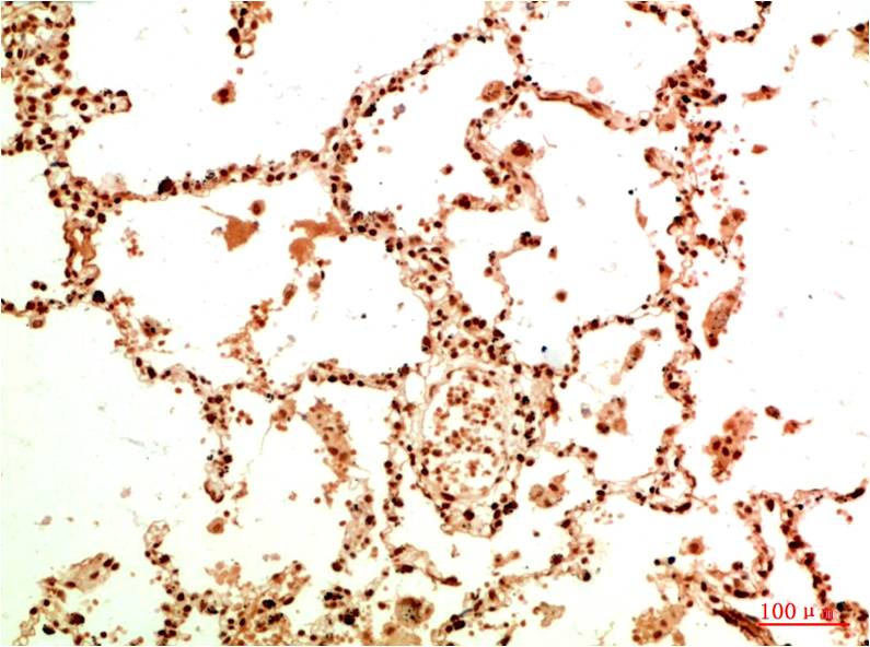
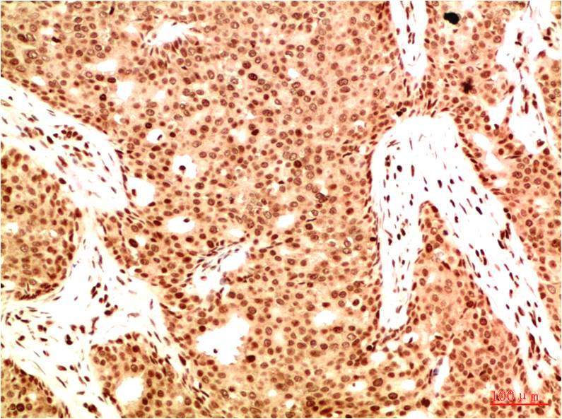
Reactivity: Human, Mouse, Rat
Alternative Names: NF kappa B p65, NFKB3, p65, p65 NF kB, RELA, TF65, Transcription Factor p65
Source: Mouse
Dilutions: IHC 1:100-200
Immunogen: Synthetic Peptide
Storage: PBS with 0.02% sodium azide and 50% glycerol pH 7.4. Store at -20°C. Avoid?repeated?freeze-thaw?cycles.
Clonality: Monoclonal
Isotype: IgG1
Concentration: 1mg/mL
Observed Band: 65kDa
GeneID: 5970
Human Swiss-Prot No: Q04206
Cellular localization: Cytoplasm,?Nucleus
Background: NFkB p65 is ubiquitinated leading to its proteosomal degradation, which is required for termination of the NFkB response. Phosphorylation of NFkB p65 on S536 stimulates acetylation of K310 by CBP, enhancing transcriptional activity. NFkB p65 is also acetylated at K122, enhancing DNA binding and impairing the interaction with NFKBIA. The protein is deacetylated by HDAC3. Invasion of a host by a pathogen is frequently associated with the activation of NF-kB, which coordinates various aspects of immune function required for resistance to infection.
關閉

在線咨詢

Online consultation

  • 在線咨詢
  • 技術支持

關注微信公眾號

微信掃一掃立即咨詢

微信掃一掃立即咨詢

關閉