產品中心

Collagen II (8F6) Mouse mAb
一鍵復制產品信息
EM1372
規格: 價格:
50μL ¥1280.00
100μL ¥1980.00

Overview

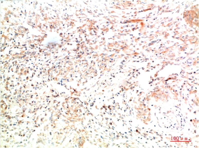
Product name: Collagen II (8F6) Mouse mAb
Reactivity: Human, Mouse, Rat
Alternative Names: Alpha 1 type II collagen , AOM, Col2a1 antibody
Source: Mouse
Dilutions: IHC 1:100-200
Immunogen: Synthetic Peptide
Storage: PBS with 0.02% sodium azide and 50% glycerol pH 7.4. Store at -20°C. Avoid?repeated?freeze-thaw?cycles.
Clonality: Monoclonal
Isotype: IgG1
Concentration: 1mg/mL
Observed Band: 142kDa
GeneID: 1280
Human Swiss-Prot No: P02458
Cellular localization: Secreted,extracellular space,extracellular matrix
Background: Collagens are fibrous, extracellular matrix proteins with high tensile strength and are the major components of connective tissue, such as tendons and cartilage. In cartilage, Collagen Type II constitutes the bulk of the fibril. Sensitization with Collagen Type II induces an erosive polyarthritis in rats, mice and higher primates which can resemble rheumatoid arthritis and relapsing polychrondritis.
關閉

在線咨詢

Online consultation

  • 在線咨詢
  • 技術支持

關注微信公眾號

微信掃一掃立即咨詢

微信掃一掃立即咨詢

關閉