產品中心

HP-1γ (3B9) Mouse mAb
一鍵復制產品信息
EM1364
規格: 價格:
50μL ¥1280.00
100μL ¥1980.00

Overview

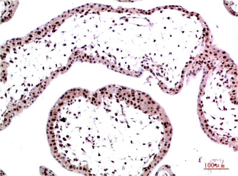
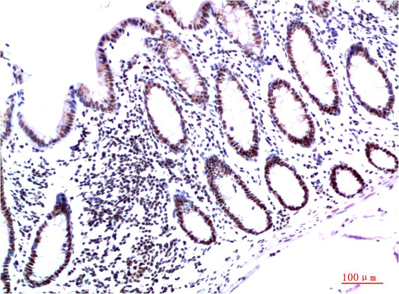
Product name: HP-1γ (3B9) Mouse mAb
Reactivity: Human, Mouse, Rat
Alternative Names: CBX3, Chromobox homolog 3, HECH, HP1 gamma
Source: Mouse
Dilutions: WB? 1:1,000-2,000 IHC 1:100-200
Immunogen: Recombinant Protein
Storage: PBS with 0.02% sodium azide and 50% glycerol pH 7.4. Store at -20°C. Avoid?repeated?freeze-thaw?cycles.
Clonality: Monoclonal
Isotype: IgG1
Concentration: 1mg/mL
Observed Band: 24kDa
GeneID: 11335
Human Swiss-Prot No: Q13185
Cellular localization: Nucleus
Background: Heterochromatin protein 1 (HP1) is a family of heterochromatic adaptor molecules involved in both gene silencing and higher order chromatin structure. All three HP1 family members (α, β, and γ) are primarily associated with centromeric heterochromatin.
關閉

在線咨詢

Online consultation

  • 在線咨詢
  • 技術支持

關注微信公眾號

微信掃一掃立即咨詢

微信掃一掃立即咨詢

關閉