產品中心

TTR (5A11) Mouse mAb
一鍵復制產品信息
EM1356
規格: 價格:
50μL ¥1280.00
100μL ¥1980.00

Overview

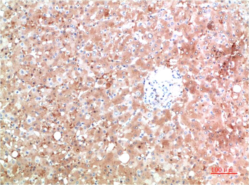
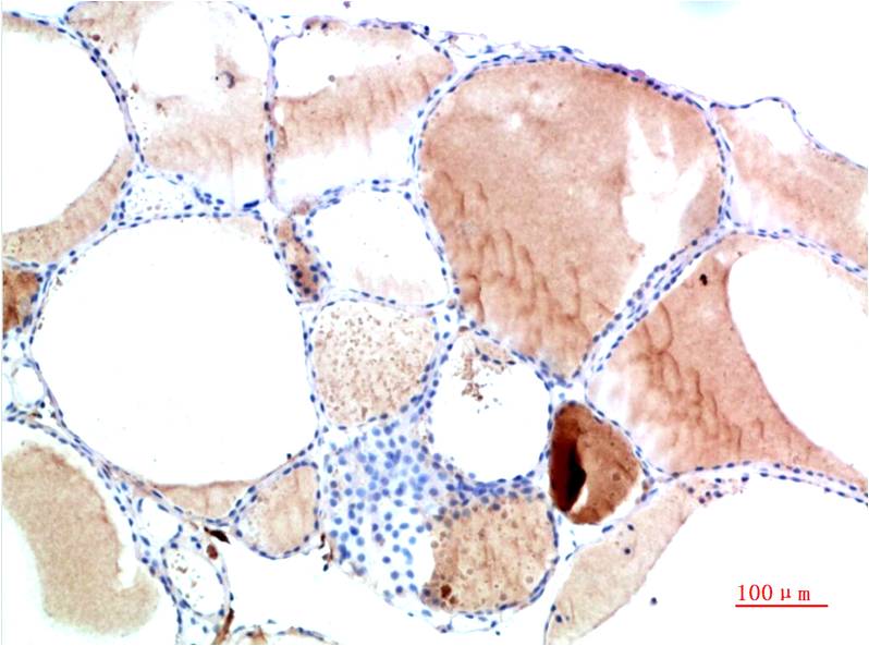
Product name: TTR (5A11) Mouse mAb
Reactivity: Human
Alternative Names: Prealbumin, TBPA, Amyloidosis I, Transthyretin antibody
Source: Mouse
Dilutions: WB? 1:1,000-2,000 IHC 1:100-200
Immunogen: Recombinant Protein
Storage: PBS with 0.02% sodium azide and 50% glycerol pH 7.4. Store at -20°C. Avoid?repeated?freeze-thaw?cycles.
Clonality: Monoclonal
Isotype: IgG1
Concentration: 1mg/mL
Observed Band: 16kDa
GeneID: 7276
Human Swiss-Prot No: P02766
Cellular localization: Secreted,Cytoplasm
Background: Prealbumin, also designated transthyretin, is a major thyroid-hormone binding protein involved in transporting thyroxine from the bloodstream to the brain. Prealbumin is located in the cytoplasm and in the vesicles of developing rat brain cells, and is thought to be transported there from the cerebrospinal fluid via endocytosis.
關閉

在線咨詢

Online consultation

  • 在線咨詢
  • 技術支持

關注微信公眾號

微信掃一掃立即咨詢

微信掃一掃立即咨詢

關閉