產品中心

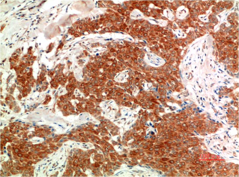
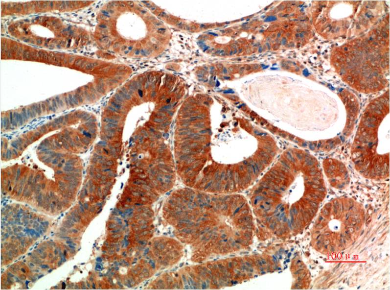
Phospho-ERK 1/2 (Y205/222) (7A6) Mouse mAb
一鍵復制產品信息
EM1342
規格: 價格:
50μL ¥1280.00
100μL ¥1980.00

Overview

Product name: Phospho-ERK 1/2 (Y205/222) (7A6) Mouse mAb
Reactivity: Human, Mouse, Rat
Alternative Names: MAPK, Mitogen-activated protein Kinase, PRKM2,MK01
Source: Mouse
Dilutions: IHC 1:100-200
Immunogen: Synthetic Peptide
Storage: PBS with 0.02% sodium azide and 50% glycerol pH 7.4. Store at -20°C. Avoid?repeated?freeze-thaw?cycles.
Clonality: Monoclonal
Isotype: IgG1
Concentration: 1mg/mL
Observed Band: 44,42kDa
GeneID: 5594/5595
Human Swiss-Prot No: P27361/P28482
Cellular localization: Nucleus
Background: Mitogen-activated protein kinases (MAPKs) are a widely conserved family of serine/threonine protein kinases involved in many cellular programs such as cell proliferation, differentiation, motility, and death. The p44/42 MAPK (Erk1/2) signaling pathway can be activated in response to a diverse range of extracellular stimuli including mitogens, growth factors, and cytokines and is an important target in the diagnosis and treatment of cancer.
關閉

在線咨詢

Online consultation

  • 在線咨詢
  • 技術支持

關注微信公眾號

微信掃一掃立即咨詢

微信掃一掃立即咨詢

關閉