產品中心

AMPKα1 (9G3) Mouse mAb
一鍵復制產品信息
EM1327
規格: 價格:
50μL ¥1280.00
100μL ¥1980.00

Overview

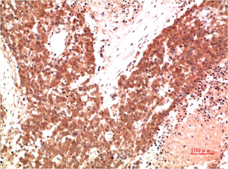
Product name: AMPKα1 (9G3) Mouse mAb
Reactivity: Human, Rat, Mouse
Alternative Names: AAPK1, 5 AMP activated protein kinase alpha 1 catalytic subunit, PRKAA1, SNF1A, MGC33776
Source: Mouse
Dilutions: WB? 1:1,000-2,000???? IHC 1:100-200
Immunogen: Recombinant Protein
Storage: PBS with 0.02% sodium azide and 50% glycerol pH 7.4. Store at -20°C. Avoid?repeated?freeze-thaw?cycles.
Clonality: Monoclonal
Isotype: IgG1
Concentration: 1mg/mL
Observed Band: 62kDa
GeneID: 5562
Human Swiss-Prot No: Q13131
Cellular localization: Cytoplasm,?Nucleus
Background: AMP-activated protein kinase (AMPK) is highly conserved from yeast to plants and animals and plays a key role in the regulation of energy homeostasis. AMPK is a heterotrimeric complex composed of a catalytic α subunit and regulatory β and γ subunits, each of which is encoded by two or three distinct genes (α1, 2; β1, 2; γ1, 2, 3).
關閉

在線咨詢

Online consultation

  • 在線咨詢
  • 技術支持

關注微信公眾號

微信掃一掃立即咨詢

微信掃一掃立即咨詢

關閉