產品中心

VE-Cadherin (8E5) Mouse mAb
一鍵復制產品信息
EM1322
規格: 價格:
50μL ¥1280.00
100μL ¥1980.00

Overview 文獻(2)

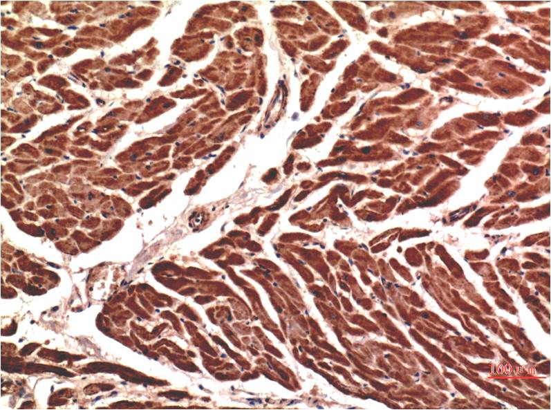
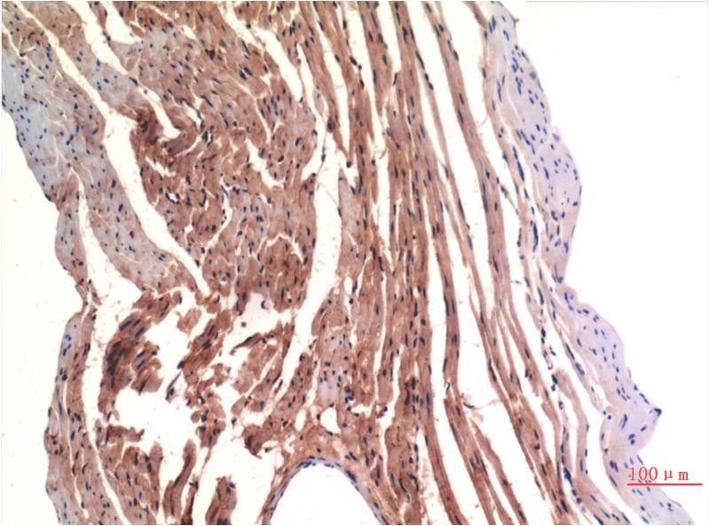
Product name: VE-Cadherin (8E5) Mouse mAb
Reactivity: Human, Rat, Mouse
Alternative Names: CD144,Cadherin 5, VEC,CDH5
Source: Mouse
Dilutions: IHC 1:100-200
Immunogen: Synthetic Peptide
Storage: PBS with 0.02% sodium azide and 50% glycerol pH 7.4. Store at -20°C. Avoid?repeated?freeze-thaw?cycles.
Clonality: Monoclonal
Isotype: IgG1
Concentration: 1mg/mL
Observed Band: 88kDa
GeneID: 1003
Human Swiss-Prot No: P33151
Cellular localization: Cell junction,?Cell membrane,?Membrane
Background: In endothelial cells, VE-cadherin signaling, expression, and localization correlate with vascular permeability and tumor angiogenesis.
關閉

在線咨詢

Online consultation

  • 在線咨詢
  • 技術支持

關注微信公眾號

微信掃一掃立即咨詢

微信掃一掃立即咨詢

關閉