產品中心

phospho-MLKL (S358) (6B4) Mouse mAb
一鍵復制產品信息
EM1320
規格: 價格:
50μL ¥1280.00
100μL ¥1980.00

Overview

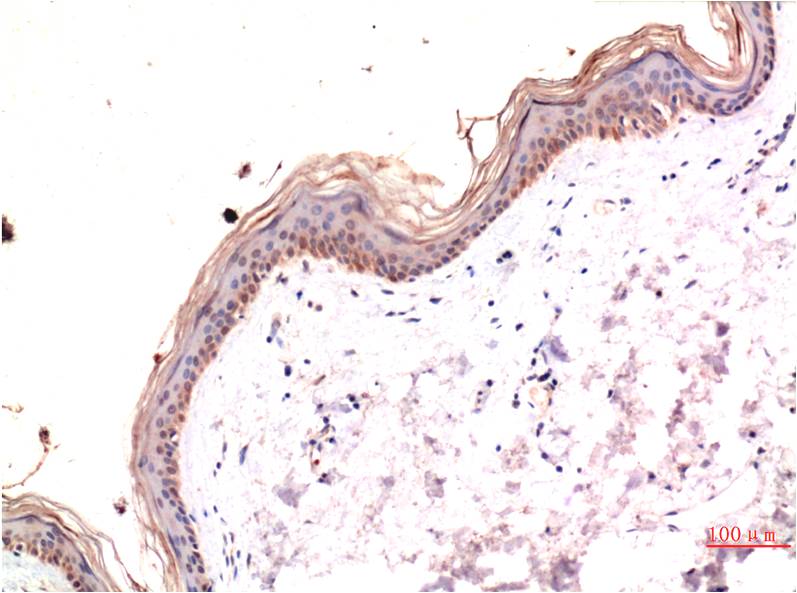
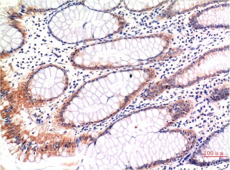
Product name: phospho-MLKL (S358) (6B4) Mouse mAb
Reactivity: Human
Alternative Names: Mixed lineage kinase domain like protein, FLJ34389
Source: Mouse
Dilutions: IHC 1:100-200
Immunogen: Synthetic Peptide
Storage: PBS with 0.02% sodium azide and 50% glycerol pH 7.4. Store at -20°C. Avoid?repeated?freeze-thaw?cycles.
Clonality: Monoclonal
Isotype: IgG1
Concentration: 1mg/mL
Observed Band: 54kDa
GeneID: 197259
Human Swiss-Prot No: Q8NB16
Cellular localization: Cell membrane,?Cytoplasm,?Membrane
Background: Mixed lineage kinase domain-like protein (MLKL) is a pseudokinase that was identified as downstream target of RIP3 in the necroptosis pathway. During necroptosis RIP3 is phosphorylated at Ser227, which recruits MLKL and leads to its phosphorylation at Thr357 and Ser358.
關閉

在線咨詢

Online consultation

  • 在線咨詢
  • 技術支持

關注微信公眾號

微信掃一掃立即咨詢

微信掃一掃立即咨詢

關閉