產品中心

Cyclin B1 (5C1) Mouse mAb
一鍵復制產品信息
EM1310
規格: 價格:
50μL ¥1280.00
100μL ¥1980.00

Overview

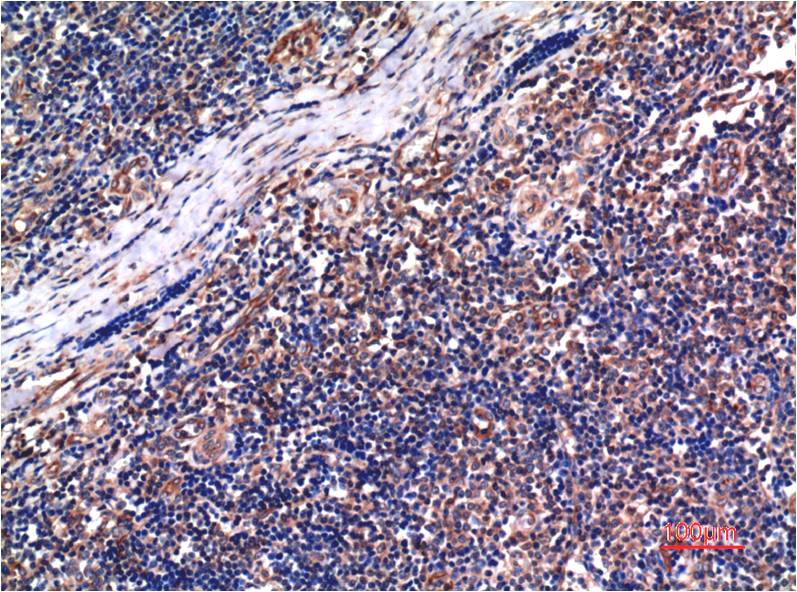
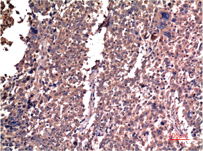
Product name: Cyclin B1 (5C1) Mouse mAb
Reactivity: Human, Rat, Mouse
Alternative Names: CCNB1 antibody, G2 mitotic specific cyclin B1 antibody
Source: Mouse
Dilutions: IHC 1:200-500
Immunogen: Synthetic Peptide
Storage: PBS with 0.02% sodium azide and 50% glycerol pH 7.4. Store at -20°C. Avoid?repeated?freeze-thaw?cycles.
Clonality: Monoclonal
Isotype: IgG
Concentration: 1mg/mL
Observed Band: 55kDa
GeneID: 891
Human Swiss-Prot No: P14635
Cellular localization: Cytoplasm,?Cytoskeleton,?Nucleus
Background: Cyclin B1 is a regulatory protein involved in mitosis. The gene product complexes with p34 (Cdk1) to form the maturation-promoting factor (MPF). Two alternative transcripts have been found, a constitutively expressed transcript and a cell cycle-regulated transcript that is expressed predominantly during G2/M phase of the cell cycle.
關閉

在線咨詢

Online consultation

  • 在線咨詢
  • 技術支持

關注微信公眾號

微信掃一掃立即咨詢

微信掃一掃立即咨詢

關閉