產品中心

PTEN (2C10) Mouse mAb
一鍵復制產品信息
EM1308
規格: 價格:
50μL ¥1280.00
100μL ¥1980.00

Overview

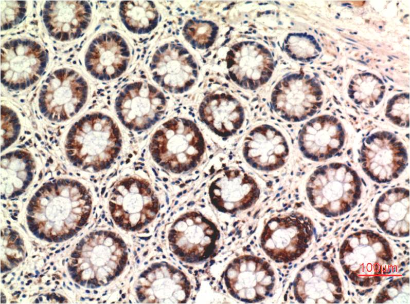
Product name: PTEN (2C10) Mouse mAb
Reactivity: Human
Alternative Names: BZS,MHAM,MMAC1,TEP1,phosphatase and tensin homolog
Source: Mouse
Dilutions: IHC? 1:100-200
Immunogen: Synthetic Peptide
Storage: PBS with 0.02% sodium azide and 50% glycerol pH 7.4. Store at -20°C. Avoid?repeated?freeze-thaw?cycles.
Clonality: Monoclonal
Isotype: IgG1
Concentration: 1mg/mL
Observed Band: 54kDa
GeneID: 5728
Human Swiss-Prot No: P60484
Cellular localization: Cytoplasm,?Nucleus,?Secreted
Background: PTEN (phosphatase and tensin homologue deleted on chromosome ten), also referred to as MMAC (mutated in multiple advanced cancers) phosphatase, is a tumor suppressor implicated in a wide variety of human cancers.
關閉

在線咨詢

Online consultation

  • 在線咨詢
  • 技術支持

關注微信公眾號

微信掃一掃立即咨詢

微信掃一掃立即咨詢

關閉