產品中心

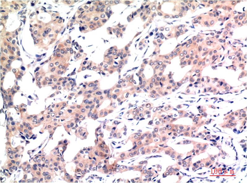
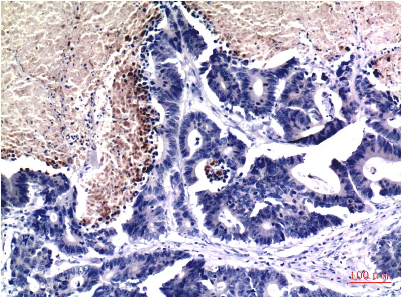
Acetyl-Histone H3 (K9) (2E7) Mouse mAb
一鍵復制產品信息
EM1292
規格: 價格:
50μL ¥1280.00
100μL ¥1980.00

Overview

Product name: Acetyl-Histone H3 (K9) (2E7) Mouse mAb
Reactivity: Human, Rat, Mouse
Alternative Names: H3 histone antibody, HIST1H3A antibody, Histone cluster 1, H3a antibody
Source: Mouse
Dilutions: IHC 1:100-200
Immunogen: Synthetic Peptide
Storage: PBS with 0.02% sodium azide and 50% glycerol pH 7.4. Store at -20°C. Avoid?repeated?freeze-thaw?cycles.
Clonality: Monoclonal
Isotype: IgG1
Concentration: 1mg/mL
Observed Band: 15kDa
GeneID: 8290
Human Swiss-Prot No: P68431
Cellular localization: Nucleus,Chromosome
Background: Histone H3 is one of the five main histone proteins involved in the structure of chromatin in eukaryotic cells. Core component of nucleosome. Nucleosomes wrap and compact DNA into chromatin, limiting DNA accessibility to the cellular machineries which require DNA as a template. Histones thereby play a central role in transcription regulation, DNA repair, DNA replication and chromosomal stability.
關閉

在線咨詢

Online consultation

  • 在線咨詢
  • 技術支持

關注微信公眾號

微信掃一掃立即咨詢

微信掃一掃立即咨詢

關閉