產品中心

Cystatin C (7F11) Mouse mAb
一鍵復制產品信息
EM1275
規格: 價格:
50μL ¥1280.00
100μL ¥1980.00

Overview

Product name: Cystatin C (7F11) Mouse mAb
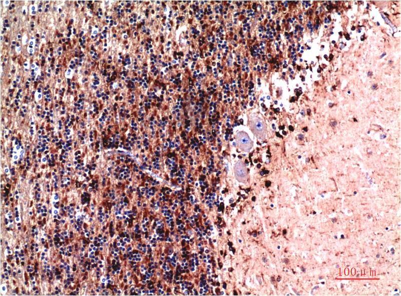
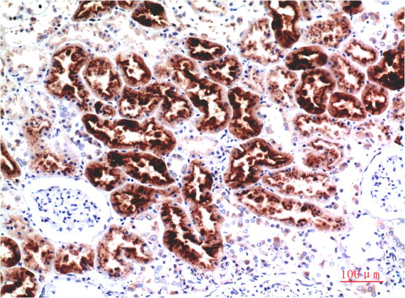
Reactivity: Human
Alternative Names: AD8, Cystatin3, Gamma trace, HCCAA
Source: Mouse
Dilutions: WB? 1:1,000-2,000 ??? IHC 1:100-200??? ?ELISA? 1:10,000-20,000
Immunogen: Recombinant Protein
Storage: PBS with 0.02% sodium azide and 50% glycerol pH 7.4. Store at -20°C. Avoid?repeated?freeze-thaw?cycles.
Clonality: Monoclonal
Isotype: IgG1
Concentration: 1mg/mL
Observed Band: 14kDa
GeneID: 1471
Human Swiss-Prot No: P01034
Cellular localization: Secreted
Background: Cystatin C is a 13-kDa inhibitor of cysteine proteinases which is secreted by all cell types and is completely cleared from the organism through glomerular filtration, shown to be an early and sensitive biomarker of renal dysfunction. A mutation in Cystatin C has been associated with amyloid angiopathy. Expression of this protein in vascular wall smooth muscle cells is severely reduced in both atherosclerotic and aneurysmal aortic lesions, establishing its role in vascular disease. In addition, this protein has been shown to have an antimicrobial function, inhibiting the replication of herpes simplex virus.
關閉

在線咨詢

Online consultation

  • 在線咨詢
  • 技術支持

關注微信公眾號

微信掃一掃立即咨詢

微信掃一掃立即咨詢

關閉