產品中心

HDAC1 (4E1) Mouse mAb
一鍵復制產品信息
EM1265
規格: 價格:
50μL ¥1280.00
100μL ¥1980.00

Overview

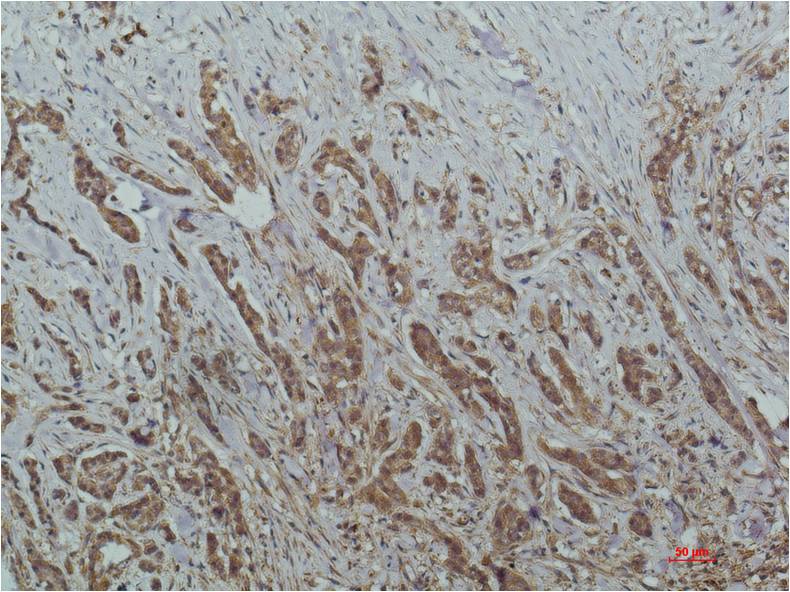
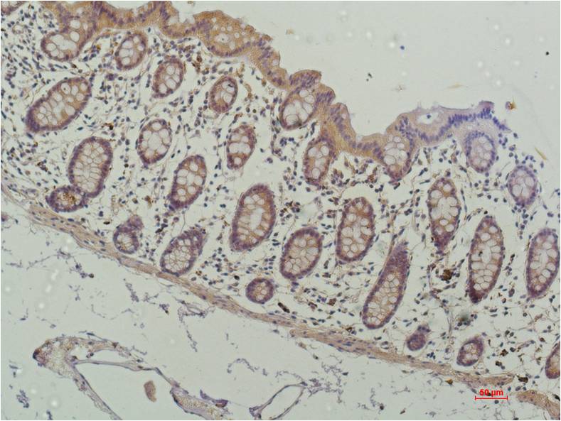
Product name: HDAC1 (4E1) Mouse mAb
Reactivity: Human, Rat, Mouse
Alternative Names: HD1, GON10, Histone deacetylase 1, RPD3
Source: Mouse
Dilutions: IHC 1:100-200
Immunogen: Synthetic Peptide
Storage: PBS with 0.02% sodium azide and 50% glycerol pH 7.4. Store at -20°C. Avoid?repeated?freeze-thaw?cycles.
Clonality: Monoclonal
Isotype: IgG1
Concentration: 1mg/mL
Observed Band: 62kDa
GeneID: 3065
Human Swiss-Prot No: Q13547
Cellular localization: Nucleus
Background: Mammalian histone deacetylases can be divided into three classes on the basis of their similarity to various yeast deacetylases. Class I proteins (HDACs 1, 2, 3, and 8) are related to the yeast Rpd3-like proteins.
關閉

在線咨詢

Online consultation

  • 在線咨詢
  • 技術支持

關注微信公眾號

微信掃一掃立即咨詢

微信掃一掃立即咨詢

關閉