產品中心

SGK1 (4D12) Mouse mAb
一鍵復制產品信息
EM1264
規格: 價格:
50μL ¥1280.00
100μL ¥1980.00

Overview

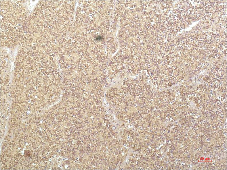
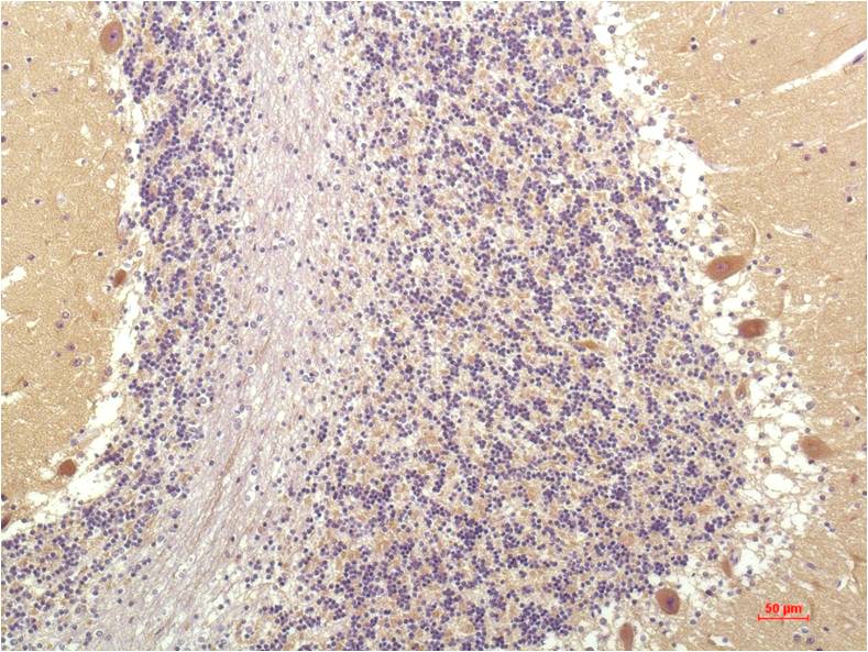
Product name: SGK1 (4D12) Mouse mAb
Reactivity: Human, Rat, Mouse
Alternative Names: SGK variant i3, serum/glucocorticoid regulated kinase 1
Source: Mouse
Dilutions: IHC 1:100-200
Immunogen: Synthetic Peptide
Storage: PBS with 0.02% sodium azide and 50% glycerol pH 7.4. Store at -20°C. Avoid?repeated?freeze-thaw?cycles.
Clonality: Monoclonal
Isotype: IgG1
Concentration: 1mg/mL
Observed Band: 45-60kDa
GeneID: 6446
Human Swiss-Prot No: O00141
Cellular localization: Cell membrane,?Cytoplasm,?Endoplasmic reticulum,?Membrane,?Mitochondrion,?Nucleus
Background: Serum and glucocorticoid-inducible kinase (SGK) is a serine/threonine kinase closely related to Akt. SGK is rapidly induced in response to a variety of stimuli, including serum, glucocorticoid, follicle stimulating hormone, osmotic shock, and mineralocorticoids.
關閉

在線咨詢

Online consultation

  • 在線咨詢
  • 技術支持

關注微信公眾號

微信掃一掃立即咨詢

微信掃一掃立即咨詢

關閉