產品中心

STAT1 (12E8) Mouse mAb
一鍵復制產品信息
EM1259
規格: 價格:
50μL ¥1280.00
100μL ¥1980.00

Overview

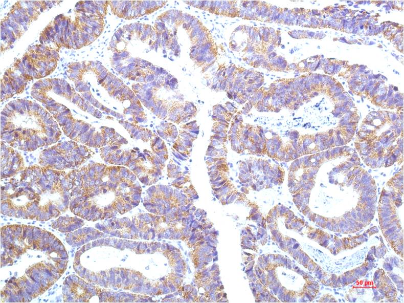
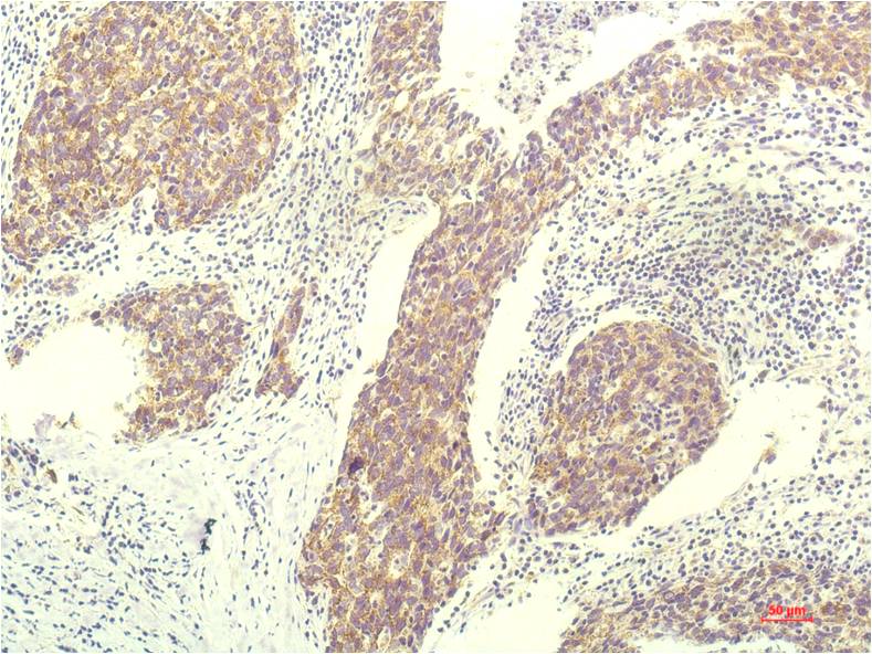
Product name: STAT1 (12E8) Mouse mAb
Reactivity: Human, Rat, Mouse
Alternative Names: CANDF7 antibody, ISGF3 antibody, DKFZp686B04100 antibody
Source: Mouse
Dilutions: IHC 1:100-200
Immunogen: Synthetic Peptide
Storage: PBS with 0.02% sodium azide and 50% glycerol pH 7.4. Store at -20°C. Avoid?repeated?freeze-thaw?cycles.
Clonality: Monoclonal
Isotype: IgG1
Concentration: 1mg/mL
Observed Band: 84,91kDa
GeneID: 6772
Human Swiss-Prot No: P42224
Cellular localization: Cytoplasm,?Nucleus
Background: STAT1 is a member of the Signal Transducers and Activators of Transcription family of transcription factors. STAT1 is involved in upregulating genes due to a signal by either type I, type II, or type III interferons.
關閉

在線咨詢

Online consultation

  • 在線咨詢
  • 技術支持

關注微信公眾號

微信掃一掃立即咨詢

微信掃一掃立即咨詢

關閉