產品中心

PPAR Delta (2F9) Mouse mAb
一鍵復制產品信息
EM1252
規格: 價格:
50μL ¥1280.00
100μL ¥1980.00

Overview

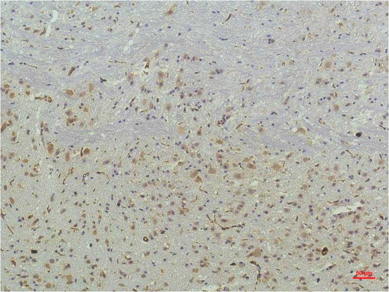
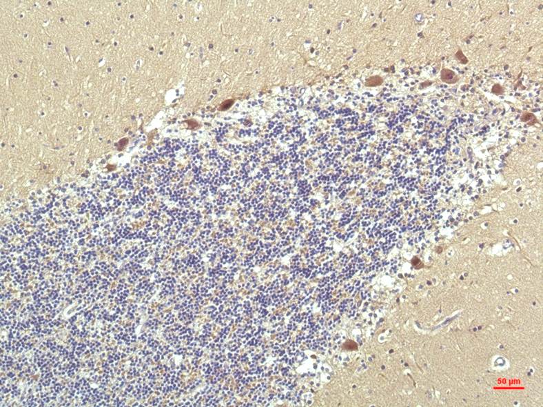
Product name: PPAR Delta (2F9) Mouse mAb
Reactivity: Human, Rat, Mouse
Alternative Names: FAAR, NR1C2, NUC1, Peroxisome proliferative activated receptor delta
Source: Mouse
Dilutions: WB 1:1,000-2,000??? IHC 1:100-200
Immunogen: Recombinant Protein
Storage: PBS with 0.02% sodium azide and 50% glycerol pH 7.4. Store at -20°C. Avoid?repeated?freeze-thaw?cycles.
Clonality: Monoclonal
Isotype: IgG1
Concentration: 1mg/mL
Observed Band: 50kDa
GeneID: 5467
Human Swiss-Prot No: Q03181
Cellular localization: Nucleus
Background: Peroxisome proliferator-activator receptor delta(PPARD), a ligand-activated transcription factor, belongs to the PPARs family, which get its name for their chemicals that induce proliferation of peroxisomes, organelles that contributes to the oxidation of fatty acids. PPARD is a receptor for peroxisome proliferator and once activated by a ligand, it binds to and activates the promoter elements of target genes, such as acylCoA oxidase gene. But it act as a repressor for the NPC1L1 gene.
關閉

在線咨詢

Online consultation

  • 在線咨詢
  • 技術支持

關注微信公眾號

微信掃一掃立即咨詢

微信掃一掃立即咨詢

關閉