產品中心

HIF-1 β/ARNT Mouse mAb
一鍵復制產品信息
EM1242
規格: 價格:
50μL ¥1280.00
100μL ¥1980.00

Overview

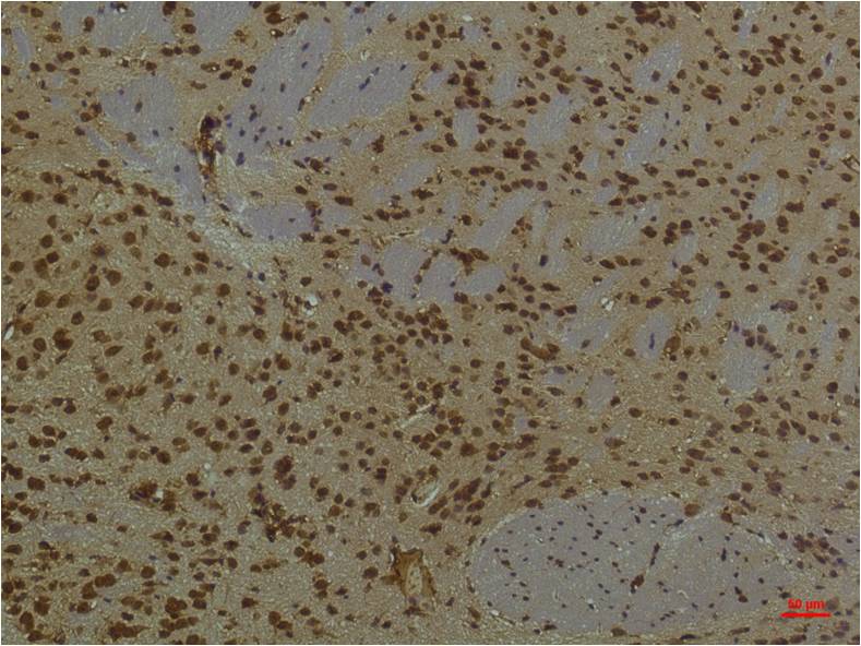
Product name: HIF-1 β/ARNT Mouse mAb
Reactivity: Mouse
Alternative Names: HIF 1 beta, ARNT, Tango, hypoxia inducible factor 1 beta, Nrnt, Dioxin receptor, bHLH2e
Source: Mouse
Dilutions: WB 1:1,000-2,000???? IHC? 1:100-200
Immunogen: Recombinant Protein
Storage: PBS with 0.02% sodium azide and 50% glycerol pH 7.4. Store at -20°C. Avoid?repeated?freeze-thaw?cycles.
Clonality: Monoclonal
Isotype: IgG1
Concentration: 1mg/mL
Observed Band: 87kDa
GeneID: 405
Human Swiss-Prot No: P27540
Cellular localization: Nucleus
Background: Hypoxia-inducible factors (HIFs) are transcription factors that respond to changes in available oxygen in the cellular environment, to be specific, to decreases in oxygen, or hypoxia.This protein is required for the ligand-binding subunit to translocate from the cytosol to the nucleus after ligand binding.
關閉

在線咨詢

Online consultation

  • 在線咨詢
  • 技術支持

關注微信公眾號

微信掃一掃立即咨詢

微信掃一掃立即咨詢

關閉