產品中心

TBP/TATA Binding Protein Mouse mAb
一鍵復制產品信息
EM1220
規格: 價格:
50μL ¥1280.00
100μL ¥1980.00

Overview

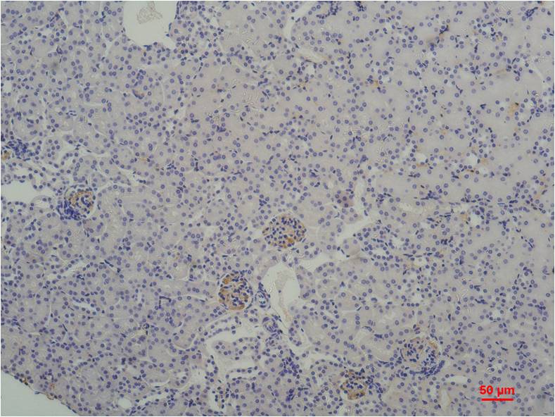
Product name: TBP/TATA Binding Protein Mouse mAb
Reactivity: Human, Rat, Mouse
Alternative Names: GFT2D antibody, MGC117320 antibody, SCA17 antibody, TATA binding protein antibody, TF2D antibody
Source: Mouse
Dilutions: IHC?1:100-200
Immunogen: Recombinant Protein
Storage: PBS with 0.02% sodium azide and 50% glycerol pH 7.4. Store at -20°C. Avoid?repeated?freeze-thaw?cycles.
Clonality: Monoclonal
Isotype: IgG1
Concentration: 1mg/mL
Observed Band: 35-45kDa
GeneID: 6908
Human Swiss-Prot No: P20226
Cellular localization: Nucleus
Background: The TATA-binding protein (TBP) is a general transcription factor that binds specifically to a DNA sequence called the TATA box. This DNA sequence is found about 30 base pairs upstream of the transcription start site in some eukaryotic gene promoters.
關閉

在線咨詢

Online consultation

  • 在線咨詢
  • 技術支持

關注微信公眾號

微信掃一掃立即咨詢

微信掃一掃立即咨詢

關閉