產品中心

c-Fos Mouse mAb
一鍵復制產品信息
EM1193
規格: 價格:
50μL ¥1280.00
100μL ¥1980.00

Overview

Product name: c-Fos Mouse mAb
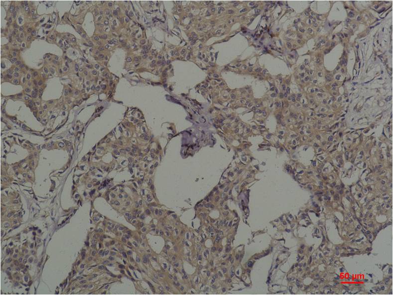
Reactivity: Human, Rat, Mouse
Alternative Names: AP1 antibody, Cellular oncogene c fos antibody, p55 antibody, proto oncogene c fos antibody
Source: Mouse
Dilutions: WB 1:1,000-2,000?? IHC 1:100-200
Immunogen: Recombinant Protein
Storage: PBS with 0.02% sodium azide and 50% glycerol pH 7.4. Store at -20°C. Avoid?repeated?freeze-thaw?cycles.
Clonality: Monoclonal
Isotype: IgG1
Concentration: 1mg/mL
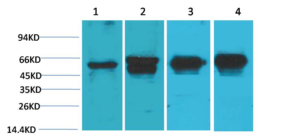
Observed Band: 62kDa
GeneID: 2353
Human Swiss-Prot No: P01100
Cellular localization: Nucleus
Background: c-Fos is a proto-oncogene that is the human homolog of the retroviral oncogene v-fos. c-fos is 380 amino acid protein with a basic leucine zipper region for dimerisation and DNA-binding and a transactivation domain at C-terminus.
關閉

在線咨詢

Online consultation

  • 在線咨詢
  • 技術支持

關注微信公眾號

微信掃一掃立即咨詢

微信掃一掃立即咨詢

關閉