產品中心

β-Catenin Mouse mAb
一鍵復制產品信息
EM1183
規格: 價格:
50μL ¥1280.00
100μL ¥1980.00

Overview

Product name: β-Catenin Mouse mAb
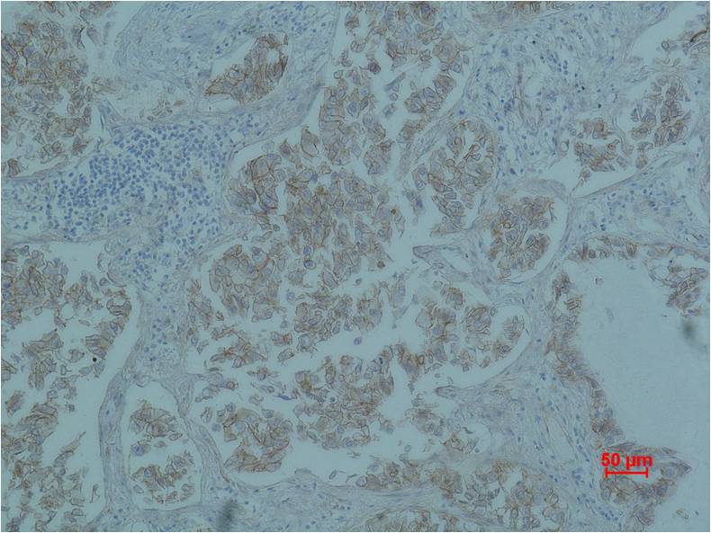
Reactivity: Human, Rat, Mouse
Alternative Names: b cat, Beta catenin, beta-Catenin, Catenin beta 1, CTNNB, CTNNB1, PRO2286
Source: Mouse
Dilutions: WB 1:1,000-2,000?? IHC 1:200-500
Immunogen: Recombinant Protein
Storage: PBS with 0.02% sodium azide and 50% glycerol pH 7.4. Store at -20°C. Avoid?repeated?freeze-thaw?cycles.
Clonality: Monoclonal
Isotype: IgG1
Concentration: 1mg/mL
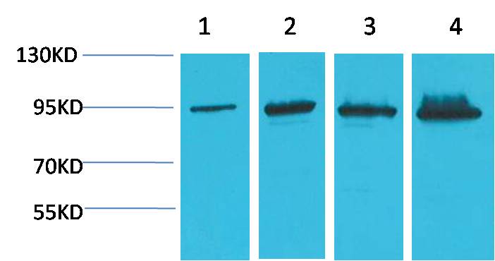
Observed Band: 92kDa
GeneID: 1499
Human Swiss-Prot No: P35222
Cellular localization: Cell junction,?Cell membrane,?Cell projection,?Cytoplasm,?Cytoskeleton,?Membrane,?Nucleus,?Synapse
Background: The distinct peripheral cytosolic proteins, alpha, beta and gamma catenin (102, 94 and 86 kDa) are found in many tissues and bind to the conserved cytoplasmic tail domain of the cell adhesion cadherins. Catenins link E cadherin to other integral membrane or cytoplasmic proteins and are modulated by Wnt1 proto oncogene. The central core region of beta catenin is involved in mediation of cadherin catenin complex interaction with EGFR. Beta-Catenin-mediated signalling is involved at several stages of vertebrate neural development.
關閉

在線咨詢

Online consultation

  • 在線咨詢
  • 技術支持

關注微信公眾號

微信掃一掃立即咨詢

微信掃一掃立即咨詢

關閉