產品中心

eIF4A1 Mouse mAb
一鍵復制產品信息
EM1136
規格: 價格:
50μL ¥1280.00
100μL ¥1980.00

Overview

Product name: eIF4A1 Mouse mAb
Reactivity: Human, Rat, Mouse
Alternative Names: DDX2, eIF 4A I, Eukaryotic initiation factor 4A-1, ATP-dependent RNA helicase eIF4A-1,DDX2A
Source: Mouse
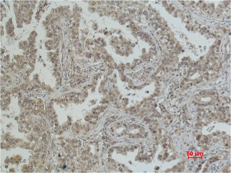
Dilutions: WB 1:1,000-3,000 IF 1:100-200? IHC 1:100-200
Immunogen: Synthetic Peptide
Storage: PBS with 0.02% sodium azide and 50% glycerol pH 7.4. Store at -20°C. Avoid?repeated?freeze-thaw?cycles.
Clonality: Monoclonal
Isotype: IgG1
Concentration: 1mg/mL
Observed Band: 48kDa
GeneID: 1973
Human Swiss-Prot No: P60842
Cellular localization: Cytosol,Extracellular region or secreted
Background: The eukaryotic initiation factor-4A (eIF4A) family consists of 3 closely related proteins EIF4A1, EIF4A2, and EIF4A3. These factors are required for the binding of mRNA to 40S ribosomal subunits. Eukaryotic initiation factor (eIF) complex 2 forms a ternary complex with GTP and the initiator Met-tRNA – this process is regulated by guanine nucleotide exchange and phosphorylation and serves as the main regulatory element of the bottleneck of protein expression.
關閉

在線咨詢

Online consultation

  • 在線咨詢
  • 技術支持

關注微信公眾號

微信掃一掃立即咨詢

微信掃一掃立即咨詢

關閉