產品中心

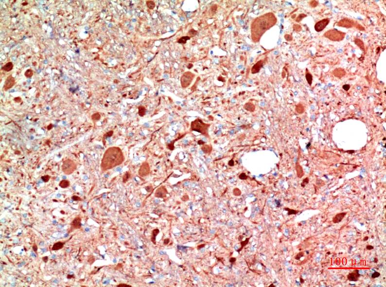
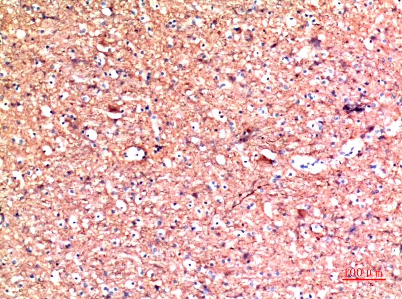
PGP9.5 (UCHL-1)Rabbit pAb
一鍵復制產品信息
EA365
規格: 價格:
50μL ¥1280.00
100μL ¥1980.00

Overview

Product name: PGP9.5 (UCHL-1)Rabbit pAb
Reactivity: Human, Mouse, Rat
Alternative Names: Neuron cytoplasmic protein 9.5, PARK5, Ubiquitin thioesterase L1, Uch L1, UCHL1
Source: Rabbit
Dilutions: WB 1:1,000-2,000? IHC 1:100-200
Immunogen: Recombinant Protein
Storage: PBS with 0.02% sodium azide and 50% glycerol pH 7.4. Store at -20°C. Avoid?repeated?freeze-thaw?cycles.
Clonality: Polyclonal
Isotype: IgG
Concentration: 1mg/mL
Observed Band: 25kDa
GeneID: 7345
Human Swiss-Prot No: P09936
Cellular localization: Cytoplasm, Endoplasmic reticulum, Membrane
Background: UCHL1, UCHL3, UCHL5/UCH37, and BRCA-1-associated protein-1 (BAP1) belong to the UCH family of DUBs, which all posses a conserved catalytic domain (UCH domain) of about 230 amino acids.??UCHL1 is abundantly expressed in neuronal tissues and testes.
關閉

在線咨詢

Online consultation

  • 在線咨詢
  • 技術支持

關注微信公眾號

微信掃一掃立即咨詢

微信掃一掃立即咨詢

關閉