產品中心

NBR1 Rabbit pAb
一鍵復制產品信息
EA357
規格: 價格:
50μL ¥1280.00
100μL ¥1980.00

Overview

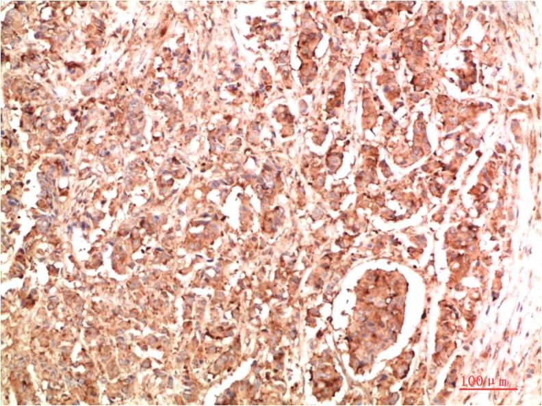
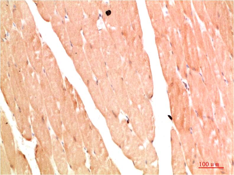
Product name: NBR1 Rabbit pAb
Reactivity: Human, Mouse, Rat
Alternative Names: 1A13B, MIG19, Nbr1
Source: Rabbit
Dilutions: IHC 1:100-200
Immunogen: Recombinant Protein
Storage: PBS with 0.02% sodium azide and 50% glycerol pH 7.4. Store at -20°C. Avoid?repeated?freeze-thaw?cycles.
Clonality: Polyclonal
Isotype: IgG
Concentration: 1mg/mL
Observed Band: 120kDa
GeneID: 4077
Human Swiss-Prot No: Q14596
Cellular localization: Cytoplasm,?Cytoplasmic vesicle,?Lysosome
Background: NBR1 protein is known for its encoding gene proximity to the BRCA1 tumor suppressor gene. N-terminal Phox and Bem1p (PB1) domains of NBR1 mediate its interaction with muscle specific titin kinase and scaffolding protein p62. NBR1 plays a role in autophagy by facilitating the autophagosomal degradation of ubiquitinated proteins independently and also in concert with p62.
關閉

在線咨詢

Online consultation

  • 在線咨詢
  • 技術支持

關注微信公眾號

微信掃一掃立即咨詢

微信掃一掃立即咨詢

關閉