產品中心

IkB α Rabbit pAb
一鍵復制產品信息
EA339
規格: 價格:
50μL ¥1280.00
100μL ¥1980.00

Overview

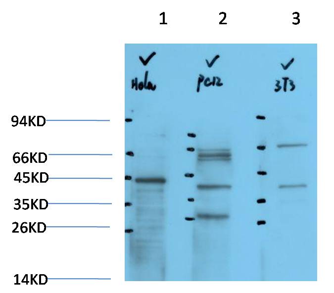
Product name: IkB α Rabbit pAb
Reactivity: Human, Mouse, Rat
Alternative Names: I kappa B alpha antibody, IkB-alpha antibody, IKBA antibody, MAD3 antibody, NFKB inhibitor antibody
Source: Rabbit
Dilutions: WB 1:500-1,000? IHC 1:100-200
Immunogen: Recombinant Protein
Storage: PBS with 0.02% sodium azide and 50% glycerol pH 7.4. Store at -20°C. Avoid?repeated?freeze-thaw?cycles.
Clonality: Polyclonal
Isotype: IgG
Concentration: 1mg/mL
Observed Band: 40kDa
GeneID: 4792
Human Swiss-Prot No: P25963
Cellular localization: Cytoplasm,?Nucleus
Background: Inhibits the activity of dimeric NF-kappa-B/REL complexes by trapping REL dimers in the cytoplasm through masking of their nuclear localization signals. IκBα phosphorylation and resulting Rel-dependent transcription are activated by a highly diverse group of extracellular signals including inflammatory cytokines, growth factors, and chemokines.
關閉

在線咨詢

Online consultation

  • 在線咨詢
  • 技術支持

關注微信公眾號

微信掃一掃立即咨詢

微信掃一掃立即咨詢

關閉