產品中心

HP-1 α Rabbit pAb
一鍵復制產品信息
EA332
規格: 價格:
50μL ¥1280.00
100μL ¥1980.00

Overview

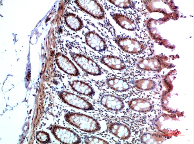
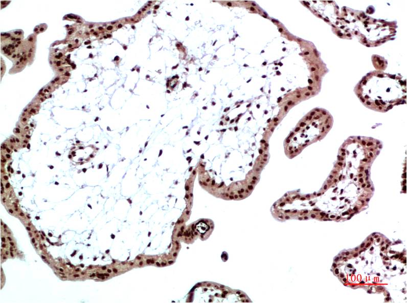
Product name: HP-1 α Rabbit pAb
Reactivity: Human, Mouse, Rat
Alternative Names: Antigen p25, CBX5, HEL25, Heterochromatin protein 1
Source: Rabbit
Dilutions: WB 1:1,000-2,000 IHC 1:200-500
Immunogen: Recombinant Protein
Storage: PBS with 0.02% sodium azide and 50% glycerol pH 7.4. Store at -20°C. Avoid?repeated?freeze-thaw?cycles.
Clonality: Polyclonal
Isotype: IgG
Concentration: 1mg/mL
Observed Band: 22kDa
GeneID: 23468
Human Swiss-Prot No: P45973
Cellular localization: Cytoplasm,?Membrane,?Nucleus
Background: Heterochromatin protein 1 (HP1) is a family of heterochromatic adaptor molecules involved in both gene silencing and higher order chromatin structure. All three HP1 family members (α, β, and γ) are primarily associated with centromeric heterochromatin.
關閉

在線咨詢

Online consultation

  • 在線咨詢
  • 技術支持

關注微信公眾號

微信掃一掃立即咨詢

微信掃一掃立即咨詢

關閉