產品中心

Acetyl-CoA Carboxylase Rabbit pAb
一鍵復制產品信息
EA325
規格: 價格:
50μL ¥1280.00
100μL ¥1980.00

Overview

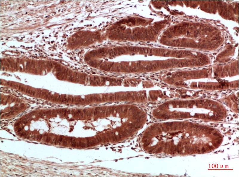
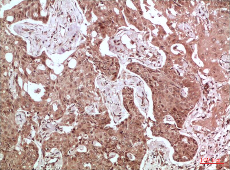
Product name: Acetyl-CoA Carboxylase Rabbit pAb
Reactivity: Human, Mouse, Rat
Alternative Names: ACAC, ACC, COA1, Acetyl Coenzyme A carboxylase alpha antibody
Source: Rabbit
Dilutions: IHC 1:100-200
Immunogen: Recombinant Protein
Storage: PBS with 0.02% sodium azide and 50% glycerol pH 7.4. Store at -20°C. Avoid?repeated?freeze-thaw?cycles.
Clonality: Polyclonal
Isotype: IgG
Concentration: 1mg/mL
Observed Band: 280kDa
GeneID: 31
Human Swiss-Prot No: Q13085
Cellular localization: Cytoplasm
Background: Acetyl-CoA carboxylase (ACC) catalyzes the carboxylation of acetyl-CoA to malonyl-CoA . It is the key enzyme in the biosynthesis and oxidation of fatty acids. ACC is a potential target of anti-obesity drugs.
關閉

在線咨詢

Online consultation

  • 在線咨詢
  • 技術支持

關注微信公眾號

微信掃一掃立即咨詢

微信掃一掃立即咨詢

關閉