產品中心

VEGF Rabbit pAb
一鍵復制產品信息
EA320
規格: 價格:
50μL ¥1280.00
100μL ¥1980.00

Overview 文獻(1)

Product name: VEGF Rabbit pAb
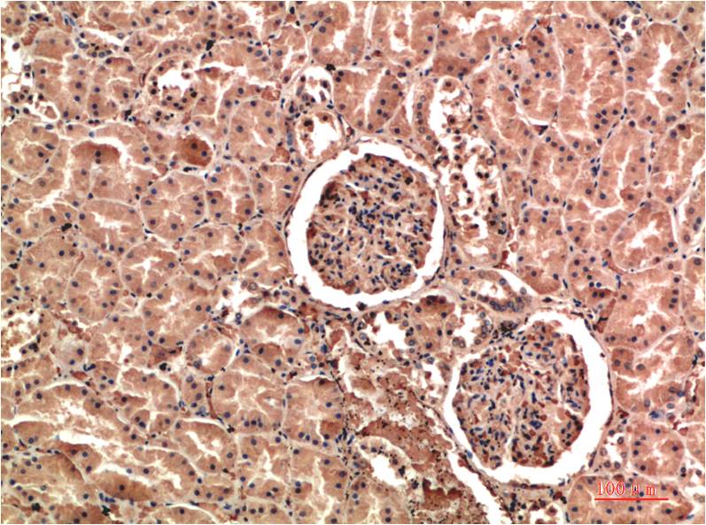
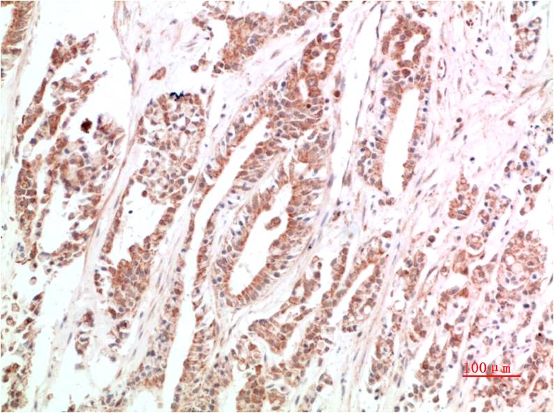
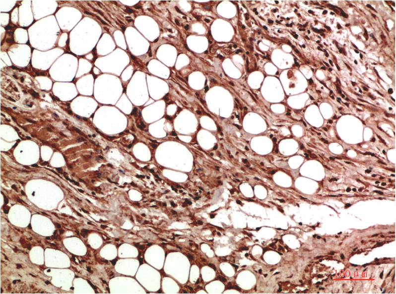
Reactivity: Human, Rat, Mouse
Alternative Names: VEGFA antibody, VPF antibody, VEGF120 antibody, Vascular endothelial growth factor antibody
Source: Rabbit
Dilutions: IHC 1:200-500
Immunogen: Recombinant Protein
Storage: PBS with 0.02% sodium azide and 50% glycerol pH 7.4. Store at -20°C. Avoid?repeated?freeze-thaw?cycles.
Clonality: Polyclonal
Isotype: IgG
Concentration: 1mg/mL
Observed Band: 23,45kDa
GeneID: 7422
Human Swiss-Prot No: P15692
Cellular localization: Secreted
Background: VEGFA, also named as VEGF or VPF, belongs to the PDGF/VEGF growth factor family. It is a growth factor active in angiogenesis, vasculogenesis and endothelial cell growth. VEGFA induces endothelial cell proliferation, promotes cell migration, inhibits apoptosis and induces permeabilization of blood vessels. It binds to the FLT1/VEGFR1 and KDR/VEGFR2 receptors, heparan sulfate and heparin. Defects in VEGFA are associated with microvascular complications of diabetes type 1 (MVCD1). VEGFA has 17 isoforms with MW from 16 to 45 kDa. Some isoforms have homodimer forms (e.g.; VEGFA189 38kDa or VEFGA110 34kDa). VEGF-A exists in at least seven homodimeric isoforms. The monomers consist of 121, 145, 148, 165, 183, 189, or 206 amino acids (PMID:15602010 ). This antibody can recognize all VEGFA isoforms.
關閉

在線咨詢

Online consultation

  • 在線咨詢
  • 技術支持

關注微信公眾號

微信掃一掃立即咨詢

微信掃一掃立即咨詢

關閉