產品中心

GABA Transporter 1 Rabbit pAb
一鍵復制產品信息
EA290
規格: 價格:
50μL ¥1280.00
100μL ¥1980.00

Overview

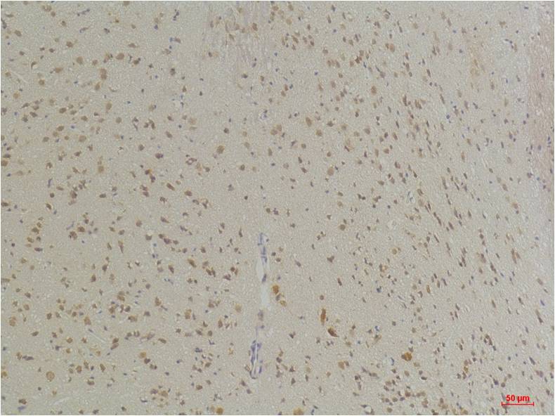
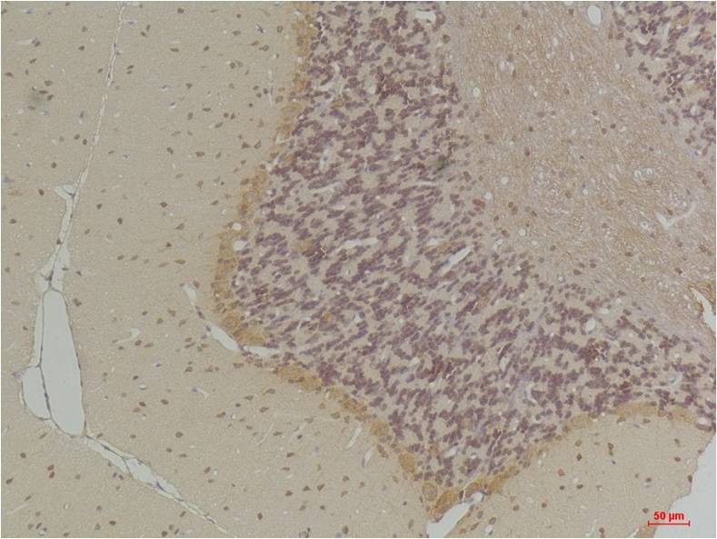
Product name: GABA Transporter 1 Rabbit pAb
Reactivity: Human, Rat, Mouse
Alternative Names: GAT1,GABATHG,GABATR,SC6A1
Source: Rabbit
Dilutions: WB 1:1,000-2,000??? IHC 1:100-200
Immunogen: Synthetic Peptide
Storage: PBS with 0.02% sodium azide and 50% glycerol pH 7.4. Store at -20°C. Avoid?repeated?freeze-thaw?cycles.
Clonality: Polyclonal
Isotype: IgG
Concentration: 1mg/mL
Observed Band: 67kDa
GeneID: 6529
Human Swiss-Prot No: P30531
Cellular localization: Cell membrane,?Membrane
Background: GABA, the major inhibitory neurotransmitter in the vertebrate brain, mediates neuronal inhibition by binding to the GABA/benzodiazepine receptor and opening an integral chloride channel.
關閉

在線咨詢

Online consultation

  • 在線咨詢
  • 技術支持

關注微信公眾號

微信掃一掃立即咨詢

微信掃一掃立即咨詢

關閉