產品中心

Nrf2 Rabbit pAb
一鍵復制產品信息
EA259
規格: 價格:
50μL ¥1280.00
100μL ¥1980.00

Overview 文獻(1)

Product name: Nrf2 Rabbit pAb
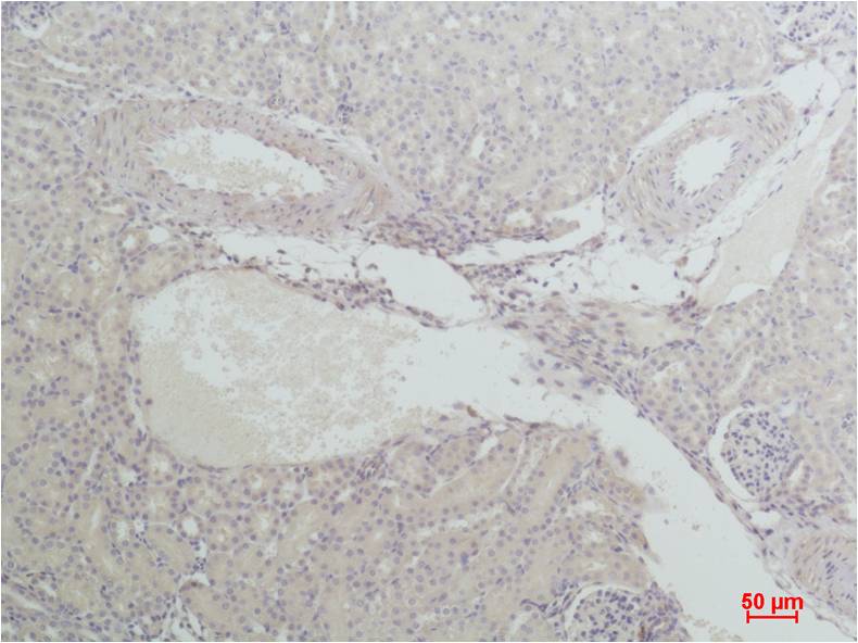
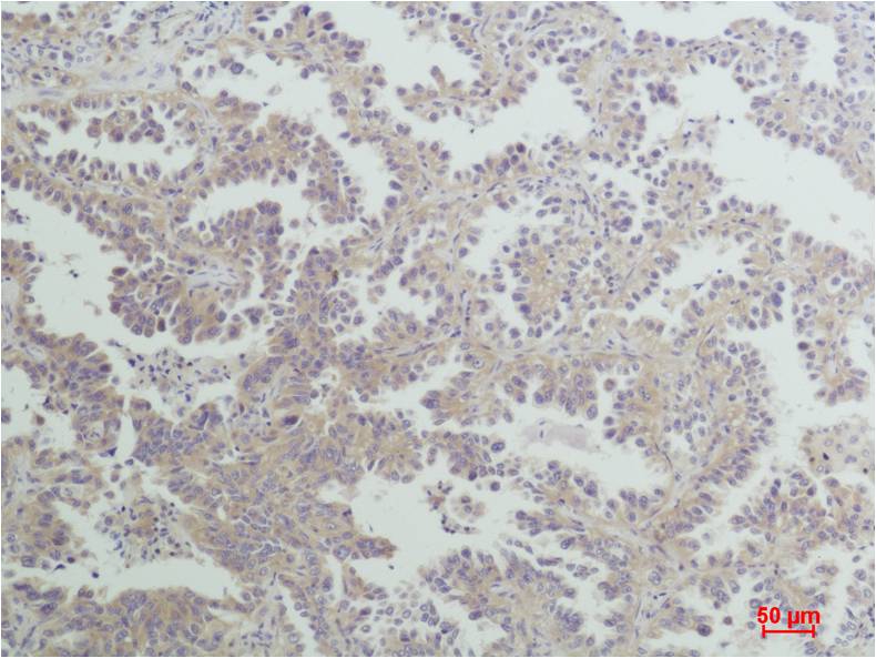
Reactivity: Human, Rat, Mouse
Alternative Names: HEBP1 antibody, Like 2 antibody, NFE2 related factor 2 antibody, Nuclear factor erythroid 2 like 2 antibody
Source: Rabbit
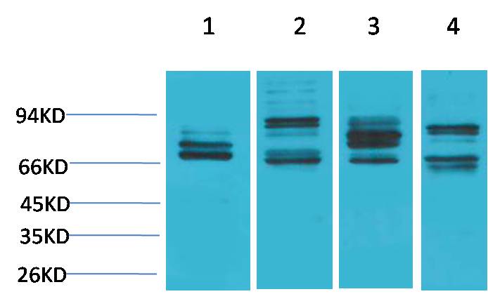
Dilutions: WB 1:1,000-2,000??? IHC? 1:100-200
Immunogen: Recombinant Protein
Storage: PBS with 0.02% sodium azide and 50% glycerol pH 7.4. Store at -20°C. Avoid?repeated?freeze-thaw?cycles.
Clonality: Polyclonal
Isotype: IgG
Concentration: 1mg/mL
Observed Band: 75-100kDa
GeneID: 4780
Human Swiss-Prot No: Q16236
Cellular localization: Cytoplasm,?Nucleus
Background: Nuclear factor (erythroid-derived 2)-like 2, also known as NFE2L2 or Nrf2, is a transcription factor that in humans is encoded by the NFE2L2 gene. Small amounts of constitutive nuclear NRF2 maintain cellular homeostasis through regulation of basal expression of antioxidant response genes.
關閉

在線咨詢

Online consultation

  • 在線咨詢
  • 技術支持

關注微信公眾號

微信掃一掃立即咨詢

微信掃一掃立即咨詢

關閉