首頁
產品中心
抗體
單克隆抗體
多克隆抗體
二抗
內參及標簽抗體
ELISA試劑盒
常規法
一步法(EasyStep)
高敏法(High Sensitivity)
微量法(Microsample)
分子生物學
核酸提取與純化
qPCR/RT-PCR
克隆系統
細胞代謝與生化檢測
生化檢測試劑盒
蛋白
重組/天然蛋白
研究方向
最新活動
技術專欄
引用文獻
實驗小貼士
常見問題
技術討論
資料下載
新聞中心
公司新聞
行業新聞
產品畫冊
關于我們
公司介紹
客戶評鑒
人才招聘
聯系我們
聯系訂購
網站首頁
產品中心
抗體
單克隆抗體
多克隆抗體
二抗
內參及標簽抗體
ELISA試劑盒
常規法
一步法(EasyStep)
高敏法(High Sensitivity)
微量法(Microsample)
分子生物學
核酸提取與純化
qPCR/RT-PCR
克隆系統
細胞代謝與生化檢測
生化檢測試劑盒
蛋白
重組/天然蛋白
研究方向
最新活動
最新活動
技術專欄
引用文獻
實驗小貼士
常見問題
技術討論
資料下載
新聞中心
公司新聞
行業新聞
產品畫冊
關于我們
公司介紹
客戶評鑒
人才招聘
聯系我們
聯系訂購
產品中心
抗體
ELISA試劑盒
分子生物學
細胞代謝與生化檢測
蛋白
Estrogen Receptor α Rabbit pAb
一鍵復制產品信息
EA256
¥1280.00/50μL ¥1980.00/100μL
規格:
價格:
50μL
¥1280.00
100μL
¥1980.00
下載說明 ①
Overview
Product name:
Estrogen Receptor α Rabbit pAb
Reactivity:
Human, Rat, Mouse
Alternative Names:
ER alpha antibody, ESR1 antibody, ESTRR antibody, Major ORF antibody, NR3A1 antibody
Source:
Rabbit
Dilutions:
WB 1:1,000-2,000
Immunogen:
Recombinant Protein
Storage:
PBS with 0.02% sodium azide and 50% glycerol pH 7.4. Store at -20°C. Avoid?repeated?freeze-thaw?cycles.
Clonality:
Polyclonal
Isotype:
IgG
Concentration:
1mg/mL
Observed Band:
66kDa
GeneID:
2099
Human Swiss-Prot No:
P03372
Cellular localization:
Cell membrane,?Cytoplasm,?Golgi apparatus,?Membrane,?Nucleus
Background:
Estrogen receptors are a group of proteins found inside cells. Estrogen receptor α (ERα), a member of the steroid receptor superfamily, contains highly conserved DNA binding and ligand binding domains.
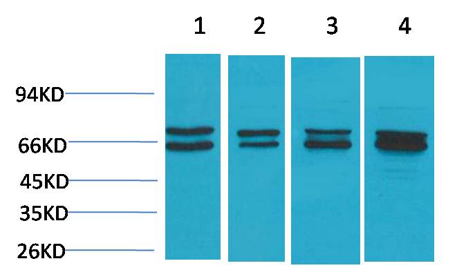
Western blot analysis of 1) Hela, 2)MCF7, 3) Mouse Liver Tissue, 4) Rat Liver Tissue with Estrogen Receptor a Rabbit pAb EA256 diluted at 1:2,000.
關閉
在線咨詢
Online consultation
在線咨詢
技術支持
關注微信公眾號
微信掃一掃立即咨詢
微信電腦端咨詢
微信掃一掃立即咨詢
微信電腦端咨詢
關閉