產品中心

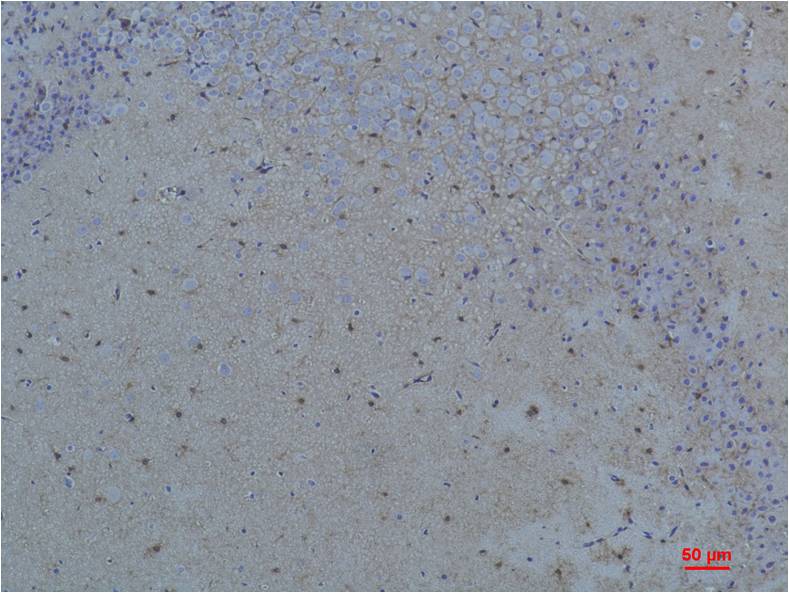
S100 β Rabbit pAb
一鍵復制產品信息
EA254
規格: 價格:
50μL ¥1280.00
100μL ¥1980.00

Overview

Product name: S100 β Rabbit pAb
Reactivity: Human, Rat, Mouse
Alternative Names: Protein S100-B antibody, S 100 calcium binding protein beta chain antibody, S100B antibody
Source: Rabbit
Dilutions: WB 1:1,000-2,000? IHC 1:50-100
Immunogen: Recombinant Protein
Storage: PBS with 0.02% sodium azide and 50% glycerol pH 7.4. Store at -20°C. Avoid?repeated?freeze-thaw?cycles.
Clonality: Polyclonal
Isotype: IgG
Concentration: 1mg/mL
Observed Band: 11kDa
GeneID: 6285
Human Swiss-Prot No: P04271
Cellular localization: Cytoplasm,?Nucleus
Background: Despite their relatively small size (8-12 kDa) and uncomplicated architecture, S100 proteins regulate a variety of cellular processes such as cell growth and motility, cell cycle progression, transcription, and differentiation.
關閉

在線咨詢

Online consultation

  • 在線咨詢
  • 技術支持

關注微信公眾號

微信掃一掃立即咨詢

微信掃一掃立即咨詢

關閉