產品中心

STAT5a Rabbit pAb
一鍵復制產品信息
EA249
規格: 價格:
50μL ¥1280.00
100μL ¥1980.00

Overview

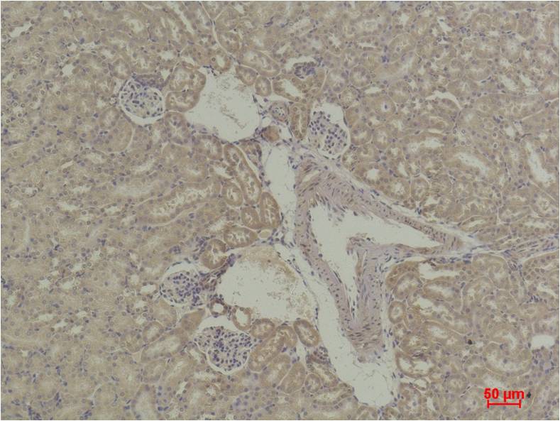
Product name: STAT5a Rabbit pAb
Reactivity: Rat, Mouse
Alternative Names: MGF antibody, STAT5 antibody, Signal transducer and activator of transcription 5A antibody
Source: Rabbit
Dilutions: WB 1:1,000-2,000??? IHC? 1:200-500
Immunogen: Recombinant Protein
Storage: PBS with 0.02% sodium azide and 50% glycerol pH 7.4. Store at -20°C. Avoid?repeated?freeze-thaw?cycles.
Clonality: Polyclonal
Isotype: IgG
Concentration: 1mg/mL
Observed Band: 90kDa
GeneID: 6776
Human Swiss-Prot No: P42229
Cellular localization: Cytoplasm, Nucleus
Background: Signal transducer and activator of transcription 5A is a protein that in humans is encoded by the STAT5A gene.Stat5a and Stat5b are independently regulated and activated in various cell types. For instance, interferon treatment predominantly activates Stat5a in U-937 cells and Stat5b in HeLa cells.
關閉

在線咨詢

Online consultation

  • 在線咨詢
  • 技術支持

關注微信公眾號

微信掃一掃立即咨詢

微信掃一掃立即咨詢

關閉