產品中心

Smad2 Rabbit pAb
一鍵復制產品信息
EA241
規格: 價格:
50μL ¥1280.00
100μL ¥1980.00

Overview

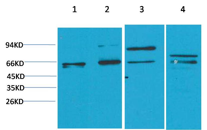
Product name: Smad2 Rabbit pAb
Reactivity: Human, Rat, Mouse
Alternative Names: hMAD2 antibody, JV18 antibody, MAD antibody, MADH2 antibody, MGC22139 antibody
Source: Rabbit
Dilutions: WB 1:1,000-2,000??? IHC? 1:100-200
Immunogen: Recombinant Protein
Storage: PBS with 0.02% sodium azide and 50% glycerol pH 7.4. Store at -20°C. Avoid?repeated?freeze-thaw?cycles.
Clonality: Polyclonal
Isotype: IgG
Concentration: 1mg/mL
Observed Band: 60kDa
GeneID: 4087
Human Swiss-Prot No: Q157976
Cellular localization: Cytoplasm,?Nucleus
Background: SMAD2 is a protein that in humans is encoded by the SMAD2 gene. SMAD proteins are signal transducers and transcriptional modulators that mediate multiple signaling pathways. SMAD2 mediates the signal of the transforming growth factor (TGF)-beta, and thus regulates multiple cellular processes, such as cell proliferation, apoptosis, and differentiation. This protein is recruited to the TGF-beta receptors through its interaction with the SMAD anchor for receptor activation (SARA) protein.
關閉

在線咨詢

Online consultation

  • 在線咨詢
  • 技術支持

關注微信公眾號

微信掃一掃立即咨詢

微信掃一掃立即咨詢

關閉